首页
伤感说说
动漫配图
心情说说
抖音文案
伤感图片
伤感说说:
伤感的句子说说心情
空间说说
心情说说
爱情说说
女生伤感说说
人生感悟
心情不好的说说
说说带图片
关于生活的说说
说说心情短语
qq空间说说带图片
个性说说
励志名言
一句话经典语录
感悟人生的经典句子
短句吧
情感故事
抖音文案
伤感图片:
伤感图片带字
非主流伤感图片
唯美伤感图片
女生伤感图片
唯美意境图片
悲伤的图片
唯美意境伤感图片
只有字的伤感图片
说说图片
伤心的图片
美甲图片
图片大全
情感图片
微信头像男
动态壁纸
动漫配图
伤感图片
首页
>
教你如何看肺炎胸片
教你如何看肺炎胸片,正常胸片和肺炎胸片图
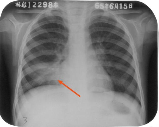
胸片显示右下肺炎有轻度的浸润病灶
大叶性肺炎之胸片诊断,必须学习
胸片如何看肺炎这篇文章帮你立刻入门
厉害!看看如何利用dr做断层诊断新冠肺炎
胸片如何看肺炎,这篇文章帮你立刻入门!
更多推荐
正常胸片和肺炎胸片图
肺炎的ct图片
肺癌胸片
正常胸片和肺炎胸片
肺炎胸片影像图片
肺炎胸片
肺炎胸片详解
肺炎胸片图解
轻度肺炎胸片
肺炎胸片儿童
儿童肺炎胸片图解
大叶性肺炎胸片
支气管肺炎胸片表现图
正常胸片和异常胸片
肺结核胸片
正常肺部胸片
胸片肺气肿
肺炎片子图片
气胸x线胸片图解
肺炎ct图片
气胸胸片
胸腔积液胸片
胸片怎么看
胸片胸透
胸片
羊传染性胸膜肺炎
肺炎
猪传染性胸膜肺炎
肺炎图片
正常胸片