首页
伤感说说
动漫配图
心情说说
抖音文案
伤感图片
伤感说说:
伤感的句子说说心情
空间说说
心情说说
爱情说说
女生伤感说说
人生感悟
心情不好的说说
说说带图片
关于生活的说说
说说心情短语
qq空间说说带图片
个性说说
励志名言
一句话经典语录
感悟人生的经典句子
短句吧
情感故事
抖音文案
伤感图片:
伤感图片带字
非主流伤感图片
唯美伤感图片
女生伤感图片
唯美意境图片
悲伤的图片
唯美意境伤感图片
只有字的伤感图片
说说图片
伤心的图片
美甲图片
图片大全
情感图片
微信头像男
动态壁纸
动漫配图
伤感图片
首页
>
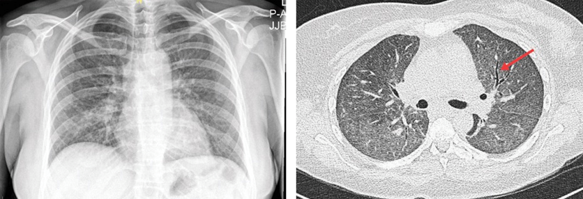
肺部感染胸片图
肺部感染胸片图,正常胸片和肺炎胸片图
一文搞定:不同类型肺部感染的ct征象与鉴别诊断
图3 40岁女性的胸片显示双肺弥漫性间质性改变 胸部ct示双肺弥漫性磨
胸片如何看肺炎这篇文章帮你立刻入门
肺部弥漫,肺水肿,肺部感染,医学影像,胸片
肺部弥漫,肺水肿,肺部感染,医学影像,胸片
更多推荐
正常胸片和肺炎胸片图
儿童肺炎胸片图解
肺炎胸片图解
肺部感染拍片图片
肺部感染片子图片
肺部感染胸片
肺部感染图片
肺部感染ct图片
新冠肺炎肺部感染图片
肺部感染片子
肺部感染图片真实
肺癌ct图片胸片
严重肺部感染ct图片
肺部正常胸片影像图片
肺部感染卡通图片
肺部感染ct
肺部感染ct图片怎么看
尘肺胸片图
正常人的肺部胸片图
肺癌胸片图
肺部感染的ct影像图片
肺部感染
肺部感染严重吗
肺部感染真实
正常胸片图片图解
肺部感染检查报告图片
肺部感染图片诊断书
肺部感染报告单
气胸x线胸片图解
肺部感染卡通