首页
伤感说说
动漫配图
心情说说
抖音文案
伤感图片
伤感说说:
伤感的句子说说心情
空间说说
心情说说
爱情说说
女生伤感说说
人生感悟
心情不好的说说
说说带图片
关于生活的说说
说说心情短语
qq空间说说带图片
个性说说
励志名言
一句话经典语录
感悟人生的经典句子
短句吧
情感故事
抖音文案
伤感图片:
伤感图片带字
非主流伤感图片
唯美伤感图片
女生伤感图片
唯美意境图片
悲伤的图片
唯美意境伤感图片
只有字的伤感图片
说说图片
伤心的图片
美甲图片
图片大全
情感图片
微信头像男
动态壁纸
动漫配图
伤感图片
首页
>
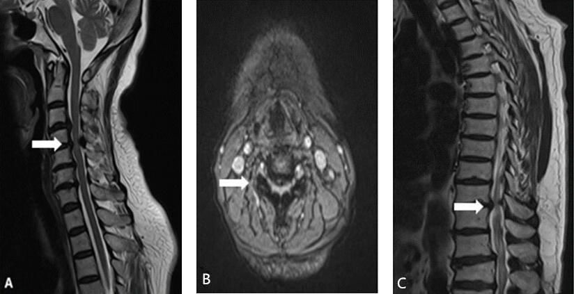
颈髓水肿
颈髓水肿,颈髓
t2wi 可见继发于椎间盘脱出的脊髓受压,脊髓水肿或脊髓软化
行颈段mri检查,可见脊髓水肿明显(图2a,全脑dsa可见左侧椎动脉发出
术中肿瘤镜下全切,因术前有脊髓水肿,c4-5椎板予以切除减压,再行c3-c6
颈胸腰多节段椎管狭窄一例(脊柱脊髓系列二十-浙二神外周刊(第222
立即出现与完全断裂同样严重的完全截瘫,也可能随脊髓出血,水肿的发展
更多推荐
颈髓
颈髓损伤
下肢水肿
脚水肿
结膜水肿
眼睑水肿
眼睛水肿
水肿图片
角膜水肿
心源性水肿
结膜水肿图片
眼睑水肿图片
痔疮水肿图片
血管神经性水肿图片
肾炎轻度眼睑水肿图片
尿道口水肿图片
痔术后水肿5天图片