首页
伤感说说
动漫配图
心情说说
抖音文案
伤感图片
伤感说说:
伤感的句子说说心情
空间说说
心情说说
爱情说说
女生伤感说说
人生感悟
心情不好的说说
说说带图片
关于生活的说说
说说心情短语
qq空间说说带图片
个性说说
励志名言
一句话经典语录
感悟人生的经典句子
短句吧
情感故事
抖音文案
伤感图片:
伤感图片带字
非主流伤感图片
唯美伤感图片
女生伤感图片
唯美意境图片
悲伤的图片
唯美意境伤感图片
只有字的伤感图片
说说图片
伤心的图片
美甲图片
图片大全
情感图片
微信头像男
动态壁纸
动漫配图
伤感图片
首页
>
肺部结节ct图片图解
肺部结节ct图片图解,肺部小结节
肺上若有结节,这些食物尽量远离,别不当回事
ct查出肺结节,有什么手段辅助查性质?为什么有的肺癌不是结节也要切?
肺磨玻璃结节的ct诊断
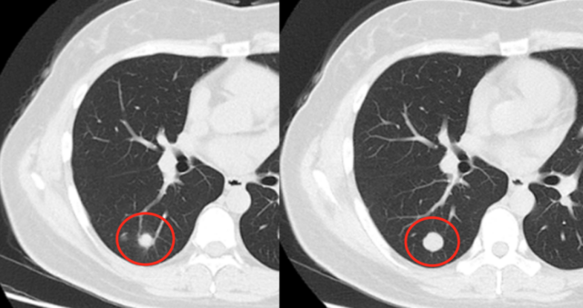
肺结节读片(13):生长极快的小细胞肺癌结节
肺结节,哪3种需要动手术?医生用ct片举例,通俗易懂
更多推荐
肺部小结节
良性结节CT图
正常健康肺的ct图片
肺部结节ct图片
肺部CT图
良性与恶性肺肿瘤图片
肺结节ct图片 肺部
肺部结节是怎么回事
肺部正常ct图片大全
肺部实性结节
肺部结节ct报告单
肺部钙化灶ct图片
肺结节ct怎么看图解
怎样看懂肺结节ct图片
正常人ct图片
良性肺结节ct图片
肺结节长什么样子图片
肺部阴影图片
肺结节检查报告图片
正常人的肺部ct图片
肺部恶性肿瘤ct图片
恶性良性肺结节图片
正常人肺部ct报告
肺部肿瘤图片
肺部结节图片
良性肺结节图片
肺结节图片高清图片
肺部ct报告单
早期肺癌ct图
肺部结节ct报告