首页
伤感说说
动漫配图
心情说说
抖音文案
伤感图片
伤感说说:
伤感的句子说说心情
空间说说
心情说说
爱情说说
女生伤感说说
人生感悟
心情不好的说说
说说带图片
关于生活的说说
说说心情短语
qq空间说说带图片
个性说说
励志名言
一句话经典语录
感悟人生的经典句子
短句吧
情感故事
抖音文案
伤感图片:
伤感图片带字
非主流伤感图片
唯美伤感图片
女生伤感图片
唯美意境图片
悲伤的图片
唯美意境伤感图片
只有字的伤感图片
说说图片
伤心的图片
美甲图片
图片大全
情感图片
微信头像男
动态壁纸
动漫配图
伤感图片
首页
>
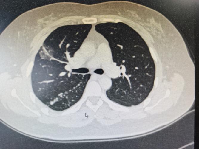
健康人肺部ct图片
健康人肺部ct图片,健康的人肺部ct图片
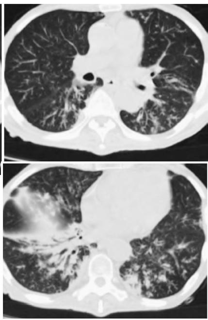
肺部ct基础读片——认识树芽征
其他支扩,看图就会. [1]高分辨率肺部ct(第
ct正常彩色解剖图-肺段
肺部ct分段
图文教你看懂恶性肺结节的ct表现_肺部结节 - 好大夫
更多推荐
健康的人肺部ct图片
健康人的ct胸片图片
健康人的肺部x光图片
健康人肺的ct
健康人的肺部图片
肺部结节ct图片图解
肺部ct图片胸片
正常肺部ct片子图片
正常健康肺的ct图片
肺部ct图片正常图
正常人的肺部ct图片
正常肺部ct片胸片
正常肺ct片图片图解
肺结核ct片图片图解
肺部ct图片
正常人肺部ct
正常肺对比肺癌ct图片
肺部恶性肿瘤ct图片
肺部ct正常图和异常图
正常肺部ct片
正常肺部ct图
正常肺部ct图说明
健康人肺的高清图片
正常人肺部ct报告
正常人的肺部x光图片
正常肺部ct高清图
肺部ct怎么看图解
正常肺部ct
肺部ct
怎么看肺部ct片子图解