首页
伤感说说
动漫配图
心情说说
抖音文案
伤感图片
伤感说说:
伤感的句子说说心情
空间说说
心情说说
爱情说说
女生伤感说说
人生感悟
心情不好的说说
说说带图片
关于生活的说说
说说心情短语
qq空间说说带图片
个性说说
励志名言
一句话经典语录
感悟人生的经典句子
短句吧
情感故事
抖音文案
伤感图片:
伤感图片带字
非主流伤感图片
唯美伤感图片
女生伤感图片
唯美意境图片
悲伤的图片
唯美意境伤感图片
只有字的伤感图片
说说图片
伤心的图片
美甲图片
图片大全
情感图片
微信头像男
动态壁纸
动漫配图
伤感图片
首页
>
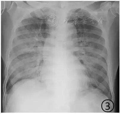
正常的肺片图片大全
正常的肺片图片大全,皮试不正常的图片
肺部正常和x线异常表现ppt
正常,结核肺的图片
轻型者没有比较明显的肺炎改变;普通型者以肺部出现局限性斑片状或
肺结核的胸片检查特点_新浪山西健康医师呼吸系统重要考点总结:第八
肺图片_肺图片大全_全景图片
更多推荐
皮试不正常的图片
正常心电图图片
正常扁桃体图片
正常尿液的图片
正常人的尿泡沫图片
不正常的泡沫尿图片
正常营业图片
正常红痣的图片
正常肛门图片
正常舌苔图片
正常舌苔图片女性
正常尿液泡沫图片
正常粉瘤图片
早上好图片最新图片
结核皮试72小时正常图
没病的泡沫尿图片
正常白带图片少女
正常婴儿大便奶瓣图片
正常白带的颜色和图片
花的图片
图片
正常白带图片是什么样
正常的BB是什么样的
图片就这样
图片大吉
正常心电图
风景图片
正常宫颈照片
心情图片
图片味道