首页
伤感说说
动漫配图
心情说说
抖音文案
伤感图片
伤感说说:
伤感的句子说说心情
空间说说
心情说说
爱情说说
女生伤感说说
人生感悟
心情不好的说说
说说带图片
关于生活的说说
说说心情短语
qq空间说说带图片
个性说说
励志名言
一句话经典语录
感悟人生的经典句子
短句吧
情感故事
抖音文案
伤感图片:
伤感图片带字
非主流伤感图片
唯美伤感图片
女生伤感图片
唯美意境图片
悲伤的图片
唯美意境伤感图片
只有字的伤感图片
说说图片
伤心的图片
美甲图片
图片大全
情感图片
微信头像男
动态壁纸
动漫配图
伤感图片
首页
>
青枝骨折图片
青枝骨折图片,青枝骨折
儿童桡骨下段青枝骨折手法治疗
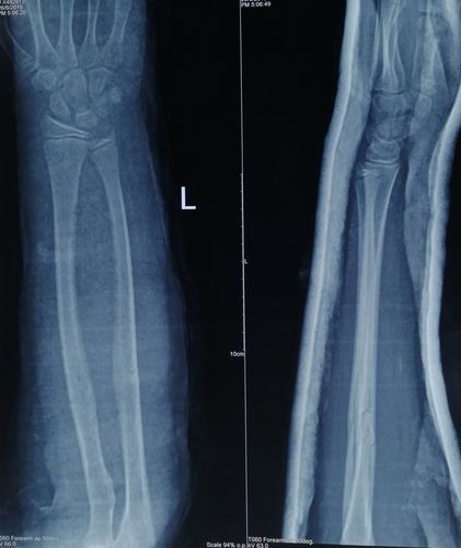
小儿桡骨远端青枝骨折
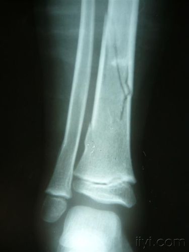
仔细看腓骨,有青枝骨折
左股骨远端青枝骨折
对于小孩尺桡骨青枝骨折,切勿暴力复位,慢工出细活,同样可以达到
更多推荐
青枝骨折
嵌插骨折
裂纹性骨折图片
什么叫做青枝骨折
凹陷性骨折图片
楔型骨折图片
粉碎骨折图片
儿童锁骨青枝骨折图片
手腕青枝骨折
横行骨折图片
青枝骨折图解
锁骨青枝骨折
压缩性骨折图片
小孩青枝骨折图片
压缩骨折图片
楔形骨折
裂缝骨折
各种骨折分类和图片
肱骨干骨折图片
青枝骨折是什么意思
青枝骨折x线表现图片
横行骨折
斜形骨折图片
嵌插骨折图示
青枝骨折示意图
儿童桡骨青枝骨折图片
压缩骨折
锁骨青枝骨折图片
稳定性骨折图片
裂缝骨折图片