首页
伤感说说
动漫配图
心情说说
抖音文案
伤感图片
伤感说说:
伤感的句子说说心情
空间说说
心情说说
爱情说说
女生伤感说说
人生感悟
心情不好的说说
说说带图片
关于生活的说说
说说心情短语
qq空间说说带图片
个性说说
励志名言
一句话经典语录
感悟人生的经典句子
短句吧
情感故事
抖音文案
伤感图片:
伤感图片带字
非主流伤感图片
唯美伤感图片
女生伤感图片
唯美意境图片
悲伤的图片
唯美意境伤感图片
只有字的伤感图片
说说图片
伤心的图片
美甲图片
图片大全
情感图片
微信头像男
动态壁纸
动漫配图
伤感图片
首页
>
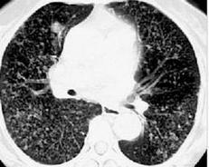
肺结节影
肺结节影,肺结节 钙化灶
医影基础丨14 种经典肺结节影像,必须要看
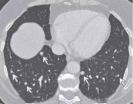
问:做了肺部ct,发现肺部有小结节影,很担心是不是早期肺癌,希望能帮我
右下肺毛玻璃小结节
肺结节影
肺结节随访
更多推荐
肺结节 钙化灶
正常肺部胸片
良性肺结节图片
肺部结节ct
肺结节影严重吗
正常人的肺部ct图片
肺部ct图片正常图
正常健康肺的ct图片
肺结节图片高清图片
肺部结节
肺磨玻璃结节
结节
乳腺结节
皮肤结节
磨玻璃结节
结节图片
胫骨结节
乳腺增生结节
坐骨结节
乳腺结节三类
乳腺结节图片
蒙氏结节
乳腺小结节三类
肱骨大结节
结节性痤疮
皮肤结节图片
osler结节
乳房结节图片
蒙氏结节图片
肱骨大结节骨折