首页
伤感说说
动漫配图
心情说说
抖音文案
伤感图片
伤感说说:
伤感的句子说说心情
空间说说
心情说说
爱情说说
女生伤感说说
人生感悟
心情不好的说说
说说带图片
关于生活的说说
说说心情短语
qq空间说说带图片
个性说说
励志名言
一句话经典语录
感悟人生的经典句子
短句吧
情感故事
抖音文案
伤感图片:
伤感图片带字
非主流伤感图片
唯美伤感图片
女生伤感图片
唯美意境图片
悲伤的图片
唯美意境伤感图片
只有字的伤感图片
说说图片
伤心的图片
美甲图片
图片大全
情感图片
微信头像男
动态壁纸
动漫配图
伤感图片
首页
>
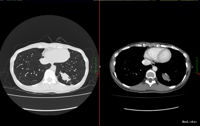
左肺下叶基底段
左肺下叶基底段,左肺下叶小结节
辅查:我院胸部ct示:左肺下叶后基底段结节,良性可能,建议进一步检查.
s7-8(左肺连在一起):它夹在中间,又往前走啊,不叫内前基底段,你告诉
s7:内基底段,s8:前基底段,s9:外基底段,s10:后基底段】 左肺 上叶【s1
看见左右主支气管(双眼)层面:右肺上叶前段和右肺下叶背段,左肺上叶和
两下叶支气管分出基底段时能观察中叶,舌叶及两肺下叶个基底段.
更多推荐
左肺下叶小结节
左肺下叶外基底段图解
左下肺基底段图
左肺下叶外基底段
左肺下叶基底段图解
左肺下叶背段
左肺下叶
左肺上叶尖后段
左肺下叶背段位置图
左肺上叶
左肺上叶舌段
左肺下叶位置图片
左肺上叶位置图
左肺上叶分段解剖图
左肺上叶切除
左肺上叶尖后段位置图
左肺上叶图片
左肺上叶舌段位置图片
肝左叶
肝左内叶
左肺心切迹
肝左内叶位置图
左叶
肝左外叶位置图片
基底
肾小球基底膜
基底部
基底膜带
基底核
基底核解剖图