首页
伤感说说
动漫配图
心情说说
抖音文案
伤感图片
伤感说说:
伤感的句子说说心情
空间说说
心情说说
爱情说说
女生伤感说说
人生感悟
心情不好的说说
说说带图片
关于生活的说说
说说心情短语
qq空间说说带图片
个性说说
励志名言
一句话经典语录
感悟人生的经典句子
短句吧
情感故事
抖音文案
伤感图片:
伤感图片带字
非主流伤感图片
唯美伤感图片
女生伤感图片
唯美意境图片
悲伤的图片
唯美意境伤感图片
只有字的伤感图片
说说图片
伤心的图片
美甲图片
图片大全
情感图片
微信头像男
动态壁纸
动漫配图
伤感图片
首页
>
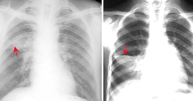
大叶性肺炎x光片
大叶性肺炎x光片,大叶性肺炎胸片
大叶性肺炎症状体征
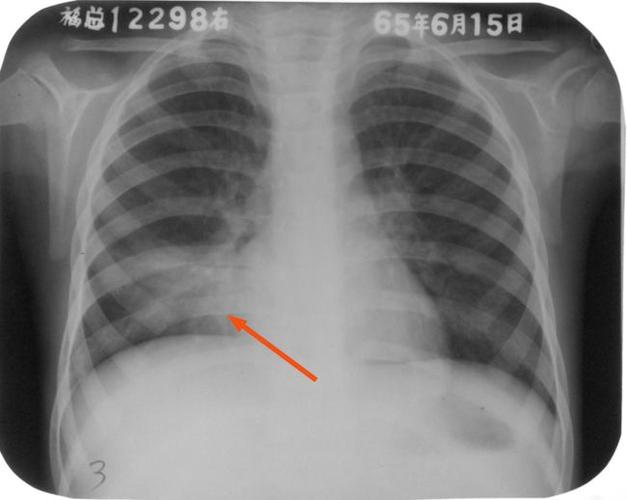
右中叶实变右上肺可见大片状实变影,以叶间裂为分界图1 右上叶大叶性
e诊断:大叶性肺炎的病理分期及x线表现
网易首页>正文申请入驻> 右肺中叶大叶性炎症胸部正侧位片:右肺中叶见
大叶性肺炎的影像诊断ppt
更多推荐
大叶性肺炎胸片
大叶性肺炎切片
大叶性肺炎x线图片
大叶性肺炎ct
大叶性肺炎图片
大叶性肺炎x线表现
大叶性肺炎
大叶性肺炎病理切片
大叶性肺炎ct典型图片
大叶性肺炎影像
大叶性肺炎ct图片讲解
大叶性肺炎绘图
大叶性肺炎手绘
大叶性肺炎的ct图像
大叶性肺炎ppt
大叶性肺炎图片手绘图
大叶性肺炎手绘图
大叶性肺炎实验报告
肺部x光片
大叶性肺炎灰肝期绘图
大叶性肺炎红肝期绘图
正常肺部x光片
大叶性肺炎红蓝铅笔
大叶性肺炎充血水肿期
大叶性肺炎病理手绘图
x光片图片女性
大叶性肺炎红蓝铅笔图
x光片
骨折x光片
颈椎x光片正常