首页
伤感说说
动漫配图
心情说说
抖音文案
伤感图片
伤感说说:
伤感的句子说说心情
空间说说
心情说说
爱情说说
女生伤感说说
人生感悟
心情不好的说说
说说带图片
关于生活的说说
说说心情短语
qq空间说说带图片
个性说说
励志名言
一句话经典语录
感悟人生的经典句子
短句吧
情感故事
抖音文案
伤感图片:
伤感图片带字
非主流伤感图片
唯美伤感图片
女生伤感图片
唯美意境图片
悲伤的图片
唯美意境伤感图片
只有字的伤感图片
说说图片
伤心的图片
美甲图片
图片大全
情感图片
微信头像男
动态壁纸
动漫配图
伤感图片
首页
>
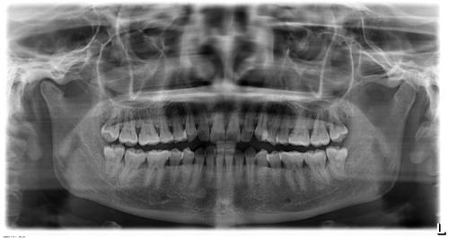
智齿正常
智齿正常,智齿脸肿
智齿要不要拔?
问:请问这样的智齿要拔吗?不痛,要用力舔才有一点感觉.
合肥拔智齿多少钱一颗
智齿不用拔的三种情况智齿正常智齿阻生智齿没长出
我的智齿长得很正常,和普通牙齿一样高,一样垂直,只是
更多推荐
智齿脸肿
智齿正常生长
智齿正常位置
智齿正常的图片
智齿瘦脸
智齿
拔智齿
长智齿
正常的智齿图片
阻生智齿
智齿盲袋
智齿位置
智齿发炎
智齿拍片
智齿可爱
智齿图片
拔智齿疼吗
智齿搞笑
智齿长在哪里
正常牙齿咬合图
阻生智齿图片
智齿x光片
智齿位置图
智齿是什么样子的
智齿的位置图片
不需要拔的智齿图片
拔智齿后的白色假膜图
智齿包在肉里面图片
正常白带
正常血压