首页
伤感说说
动漫配图
心情说说
抖音文案
伤感图片
伤感说说:
伤感的句子说说心情
空间说说
心情说说
爱情说说
女生伤感说说
人生感悟
心情不好的说说
说说带图片
关于生活的说说
说说心情短语
qq空间说说带图片
个性说说
励志名言
一句话经典语录
感悟人生的经典句子
短句吧
情感故事
抖音文案
伤感图片:
伤感图片带字
非主流伤感图片
唯美伤感图片
女生伤感图片
唯美意境图片
悲伤的图片
唯美意境伤感图片
只有字的伤感图片
说说图片
伤心的图片
美甲图片
图片大全
情感图片
微信头像男
动态壁纸
动漫配图
伤感图片
首页
>
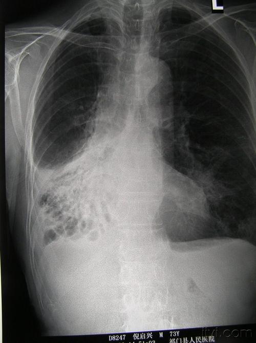
肺部有阴影
肺部有阴影,肺部有阴影是什么原因
又一个病例讨论-咳嗽,黄痰,肺部阴影
一种让人"跪着死去"的肺部疾病
003号《有奖比赛》右下肺阴影的诊断?
左下肺阴影,求指导
肺部出现阴影可能预示多种疾病
更多推荐
肺部有阴影是什么原因
肺部有阴影CT
肺部阴影片子
肺部阴影
肺部阴影诊断
新冠肺部阴影
肺部阴影图片
肺部阴影有几种可能
肺部阴影图片胸片
肺部阴影x光片
阴影部分
肺部
肺部结节
肺部位置
肺部肿瘤
肺部结构
肺部ct
肺部人体
正常肺部胸片
肺部x光片
肺部图片
肺部听诊
肺部结构图
肺部在哪个位置
阴影
肺部正常胸片影像图片
肺部位置图片
正常肺部ct图
阴影部分面积
正常肺部ct片