首页
伤感说说
动漫配图
心情说说
抖音文案
伤感图片
伤感说说:
伤感的句子说说心情
空间说说
心情说说
爱情说说
女生伤感说说
人生感悟
心情不好的说说
说说带图片
关于生活的说说
说说心情短语
qq空间说说带图片
个性说说
励志名言
一句话经典语录
感悟人生的经典句子
短句吧
情感故事
抖音文案
伤感图片:
伤感图片带字
非主流伤感图片
唯美伤感图片
女生伤感图片
唯美意境图片
悲伤的图片
唯美意境伤感图片
只有字的伤感图片
说说图片
伤心的图片
美甲图片
图片大全
情感图片
微信头像男
动态壁纸
动漫配图
伤感图片
首页
>
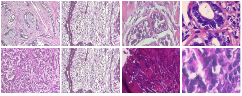
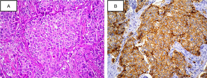
乳腺癌组织
乳腺癌组织,乳腺癌
乳腺癌组织病理学图像分类的部分独立框架
不要谈癌色变几种低度恶性潜能乳腺癌学习二
衡道丨专题2021csco学术年会病理热点乳腺癌精准病理诊断
乳腺癌分期是如何划分的?不同分期有何特点?
靶疗丨乳腺癌抗her2靶向治疗知多少
更多推荐
乳腺癌
乳腺癌真实
早期乳腺癌
乳腺癌分期
乳腺癌手术
乳腺癌做完
乳腺癌真人
乳腺癌图片
乳腺癌乳头凹陷
乳腺癌早期症状
早期乳腺癌真人
乳腺癌病理报告
乳腺癌早期图片
得了乳腺癌的图片
乳腺癌的15个征兆
乳腺癌手术后图片
乳腺癌早期症状图片
真实乳腺癌的前兆图片
乳腺癌的15个征兆图片
乳腺癌早期图片红点
脑组织
橘皮组织
组织论
上合组织
人体组织
壳组织
机械组织
传销组织
皮肤组织
肌肉组织