首页
伤感说说
动漫配图
心情说说
抖音文案
伤感图片
伤感说说:
伤感的句子说说心情
空间说说
心情说说
爱情说说
女生伤感说说
人生感悟
心情不好的说说
说说带图片
关于生活的说说
说说心情短语
qq空间说说带图片
个性说说
励志名言
一句话经典语录
感悟人生的经典句子
短句吧
情感故事
抖音文案
伤感图片:
伤感图片带字
非主流伤感图片
唯美伤感图片
女生伤感图片
唯美意境图片
悲伤的图片
唯美意境伤感图片
只有字的伤感图片
说说图片
伤心的图片
美甲图片
图片大全
情感图片
微信头像男
动态壁纸
动漫配图
伤感图片
首页
>
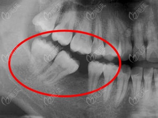
大牙片
大牙片,大牙
著名笑星闵天浩在华美牙科完成种植牙他说一辈子不牙疼了
牙片为医患沟通提供了准确的依据.
智齿,那个医生说先不拔,如果后面不疼就保留它,以便支撑旁边的大牙
大牙疼了好几天,一吃东西就疼,晚上不影响睡觉.吃药会好吗?有x光片.
大牙拔牙10年了还能再镶牙么如果可以是镶固定的好还是活动的好
更多推荐
大牙
大牙图片
大牙妹
张大牙
大牙狸
大牙窟窿
拔出大牙图片
大牙烂了个大窟窿图片
大牙搞笑
大牙侧面有牙洞图
大牙花子
大牙烂到底的图片
大牙烂了个大窟窿咋办
大牙烂到底露肉的图片
蛀牙最严重图片
不能补的蛀牙图片
靠后的牙烂了大窟窿
张大牙爱搞怪
大牙凹槽里好多黑色
坏得最严重的牙齿图片
取出来的牙神经图片
牙齿蛀虫恶心图片
龋洞
虫牙里吸出虫子的图片