首页
伤感说说
动漫配图
心情说说
抖音文案
伤感图片
伤感说说:
伤感的句子说说心情
空间说说
心情说说
爱情说说
女生伤感说说
人生感悟
心情不好的说说
说说带图片
关于生活的说说
说说心情短语
qq空间说说带图片
个性说说
励志名言
一句话经典语录
感悟人生的经典句子
短句吧
情感故事
抖音文案
伤感图片:
伤感图片带字
非主流伤感图片
唯美伤感图片
女生伤感图片
唯美意境图片
悲伤的图片
唯美意境伤感图片
只有字的伤感图片
说说图片
伤心的图片
美甲图片
图片大全
情感图片
微信头像男
动态壁纸
动漫配图
伤感图片
首页
>
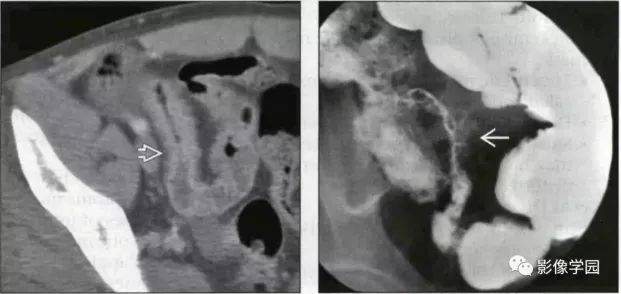
肠结核x线
肠结核x线,
肠道丨克罗恩病及肠结核
胃肠道常见病影像表现胃溃疡消化道肿瘤肠结核
消化道穿孔 d 肠结核 e.
【答案解析】_下述关于喉癌放射治疗原则错误的是
胃肠道结核常继发于肺部结核菌感染:胸部x线检查有助于疑似病例的诊断
更多推荐
吴昊泽个人资料 壁纸
肝破裂CT