首页
伤感说说
动漫配图
心情说说
抖音文案
伤感图片
伤感说说:
伤感的句子说说心情
空间说说
心情说说
爱情说说
女生伤感说说
人生感悟
心情不好的说说
说说带图片
关于生活的说说
说说心情短语
qq空间说说带图片
个性说说
励志名言
一句话经典语录
感悟人生的经典句子
短句吧
情感故事
抖音文案
伤感图片:
伤感图片带字
非主流伤感图片
唯美伤感图片
女生伤感图片
唯美意境图片
悲伤的图片
唯美意境伤感图片
只有字的伤感图片
说说图片
伤心的图片
美甲图片
图片大全
情感图片
微信头像男
动态壁纸
动漫配图
伤感图片
首页
>
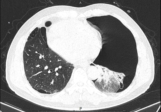
气胸的ct表现
气胸的ct表现,气胸ct表现
包裹性气胸or肺大泡这里有3个精彩病例
患者一般情况好,血氧饱和度及二氧化碳分压正常,术后6天左侧气胸吸收
胸部ct提示双肺多发巨大肺大泡,左侧大量气胸
扒一扒临床常见的气胸
气胸胸腔积液肋骨骨折影像表现
更多推荐
气胸ct表现
气胸的x线表现
肺气肿ct表现
气胸ct
气胸胸片
气胸x线胸片
肝囊肿ct表现
肺癌ct表现
肺结核ct表现
气胸x线胸片图解
气胸胸片典型图片
肝癌ct表现
脑梗塞ct表现
脑萎缩ct表现
胰腺炎ct表现
气胸排气
间质性肺炎ct表现
液气胸CT
气胸是什么症状
气胸手术
气胸
气胸片子
气胸的图片
蛛网膜下腔出血ct表现
气胸四大症状
硬膜外血肿ct表现
普通肺炎ct表现图片
血气胸
气胸病人
气胸插管