首页
伤感说说
动漫配图
心情说说
抖音文案
伤感图片
伤感说说:
伤感的句子说说心情
空间说说
心情说说
爱情说说
女生伤感说说
人生感悟
心情不好的说说
说说带图片
关于生活的说说
说说心情短语
qq空间说说带图片
个性说说
励志名言
一句话经典语录
感悟人生的经典句子
短句吧
情感故事
抖音文案
伤感图片:
伤感图片带字
非主流伤感图片
唯美伤感图片
女生伤感图片
唯美意境图片
悲伤的图片
唯美意境伤感图片
只有字的伤感图片
说说图片
伤心的图片
美甲图片
图片大全
情感图片
微信头像男
动态壁纸
动漫配图
伤感图片
首页
>
胸片的网图
胸片的网图,正常胸片图片图解
秒懂胸片!扒一扒胸片的基础知识
【请教】少量,中量,大量胸腔积液的划分标准是什么?
男,27岁,胸痛,胸片检查如图,最可能的诊断是()
[单项选择题]患者男性,18岁,感胸闷气逼,胸片检查见图,最合理的诊断是
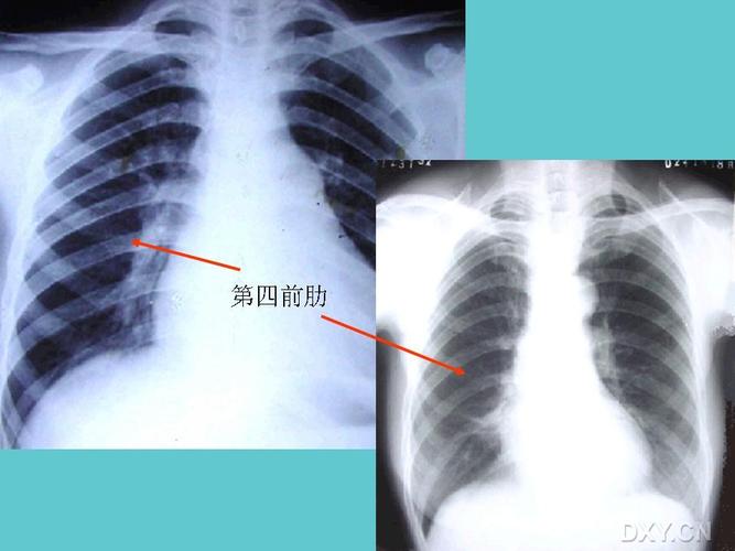
秒懂胸片扒一扒胸片的基础知识
更多推荐
正常胸片图片图解
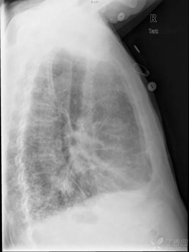
胸片图片
胸片正常图片
胸片图
正常胸片图
不正常的胸片图
正常人的胸片图
正常胸片和异常胸片
正常胸片和肺炎胸片图
胸片胸透
胸透图片
正常胸片影像图片
气胸x线胸片图解
肺癌ct图片胸片
拍胸片照片
肺癌胸片图
气胸胸片
尘肺胸片图
正常人的胸片图高清
胸片
正常胸片图男性
拍胸片
网图卡通图片
正常胸片
胸片怎么看
胸片女性
儿童胸片正常图
正常人的肺部胸片图
肺部正常胸片影像图片
健康胸片