首页
伤感说说
动漫配图
心情说说
抖音文案
伤感图片
伤感说说:
伤感的句子说说心情
空间说说
心情说说
爱情说说
女生伤感说说
人生感悟
心情不好的说说
说说带图片
关于生活的说说
说说心情短语
qq空间说说带图片
个性说说
励志名言
一句话经典语录
感悟人生的经典句子
短句吧
情感故事
抖音文案
伤感图片:
伤感图片带字
非主流伤感图片
唯美伤感图片
女生伤感图片
唯美意境图片
悲伤的图片
唯美意境伤感图片
只有字的伤感图片
说说图片
伤心的图片
美甲图片
图片大全
情感图片
微信头像男
动态壁纸
动漫配图
伤感图片
首页
>
胸结节图片
胸结节图片,
【请教】如何诊断,治疗这样的关节痛 痛性结节
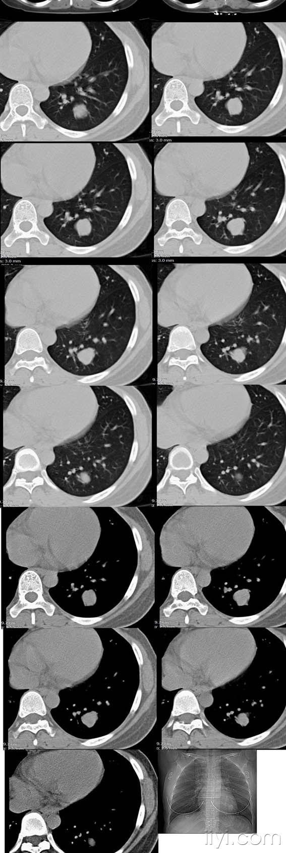
【读片】21岁女孩,胸部结节,请您会诊,结果正在随访中.
左肺上叶尖后段磨玻璃结节严重吗胸外科
乳腺结节18毫米要手术吗
乳房肿块乳房结节乳腺纤维腺瘤
更多推荐
胸片的正常图片
真实的胸片