首页
伤感说说
动漫配图
心情说说
抖音文案
伤感图片
伤感说说:
伤感的句子说说心情
空间说说
心情说说
爱情说说
女生伤感说说
人生感悟
心情不好的说说
说说带图片
关于生活的说说
说说心情短语
qq空间说说带图片
个性说说
励志名言
一句话经典语录
感悟人生的经典句子
短句吧
情感故事
抖音文案
伤感图片:
伤感图片带字
非主流伤感图片
唯美伤感图片
女生伤感图片
唯美意境图片
悲伤的图片
唯美意境伤感图片
只有字的伤感图片
说说图片
伤心的图片
美甲图片
图片大全
情感图片
微信头像男
动态壁纸
动漫配图
伤感图片
首页
>
我想看胸片曝光
我想看胸片曝光,如何拍胸片照片
帮看下这个胸片看是什么病谢谢
看胸片的16个关键点
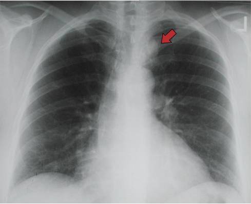
28岁女 图一是胸片 图二是医生画的小圈那个地方是觉得有问题的地方
求高手看一胸片
有学医的同学看下x胸片嘛!
更多推荐
如何拍胸片照片
不正常的胸片图
拍胸片的照片看一下
拍个胸片
胸片怎么照
胸片曝光时间
拍胸片的照片
正常胸片和异常胸片
胸片胸透
胸片怎么看
正常胸片影像图片
拍胸片照片
胸片图片
胸片正常图片
我想看看
拍胸片
气胸x线胸片图解
胸片
气胸胸片
正常胸片
正常人胸片
健康胸片
胸片机器
胸片女性
胸片报告
胸片结节影
我想看
我想看恐怖片
肺炎胸片
我想看猪猪侠