首页
伤感说说
动漫配图
心情说说
抖音文案
伤感图片
伤感说说:
伤感的句子说说心情
空间说说
心情说说
爱情说说
女生伤感说说
人生感悟
心情不好的说说
说说带图片
关于生活的说说
说说心情短语
qq空间说说带图片
个性说说
励志名言
一句话经典语录
感悟人生的经典句子
短句吧
情感故事
抖音文案
伤感图片:
伤感图片带字
非主流伤感图片
唯美伤感图片
女生伤感图片
唯美意境图片
悲伤的图片
唯美意境伤感图片
只有字的伤感图片
说说图片
伤心的图片
美甲图片
图片大全
情感图片
微信头像男
动态壁纸
动漫配图
伤感图片
首页
>
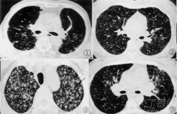
右肺上叶粟粒灶
右肺上叶粟粒灶,
a示右肺上中下与左肺中下呈粟
粟粒性肺结核丨ct表现诊断要点
肺粟粒样结节鉴别诊断
图 2 左肺尖肺癌并肺内转移 下肺静脉层面 hrct 显示两肺大量粟粒
图文总结:结核的影像学诊断和治疗挑战(上)
更多推荐
右肺上叶肿瘤
右肺上叶恶性肿瘤