首页
伤感说说
动漫配图
心情说说
抖音文案
伤感图片
伤感说说:
伤感的句子说说心情
空间说说
心情说说
爱情说说
女生伤感说说
人生感悟
心情不好的说说
说说带图片
关于生活的说说
说说心情短语
qq空间说说带图片
个性说说
励志名言
一句话经典语录
感悟人生的经典句子
短句吧
情感故事
抖音文案
伤感图片:
伤感图片带字
非主流伤感图片
唯美伤感图片
女生伤感图片
唯美意境图片
悲伤的图片
唯美意境伤感图片
只有字的伤感图片
说说图片
伤心的图片
美甲图片
图片大全
情感图片
微信头像男
动态壁纸
动漫配图
伤感图片
首页
>
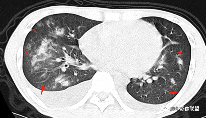
右肺上叶GGO
右肺上叶GGO,右肺上叶后段
ggo完全消失抗感染治疗2周后,复查ct提示结节消失ct提示左肺上叶磨
抗感染治疗2周后,随访1个半月,混合型ggo明显吸收4.
2,肺泡蛋白沉积症:1,复张性肺水肿:二,先介绍几种常见的良性ggo5,下表
双下肺淡薄ggo
1,复张性肺水肿:二,先介绍几种常见的良性ggo5,下表显示了所有可以
更多推荐
右肺上叶后段
左肺上叶前段
右肺上叶和下叶
次级肺小叶
右肺上叶位置图
初级肺小叶
左肺上叶位置图
左肺下叶位置图
肺小叶结构图
肺部上叶下舌
肺隔离症
肺间质结构图