首页
伤感说说
动漫配图
心情说说
抖音文案
伤感图片
伤感说说:
伤感的句子说说心情
空间说说
心情说说
爱情说说
女生伤感说说
人生感悟
心情不好的说说
说说带图片
关于生活的说说
说说心情短语
qq空间说说带图片
个性说说
励志名言
一句话经典语录
感悟人生的经典句子
短句吧
情感故事
抖音文案
伤感图片:
伤感图片带字
非主流伤感图片
唯美伤感图片
女生伤感图片
唯美意境图片
悲伤的图片
唯美意境伤感图片
只有字的伤感图片
说说图片
伤心的图片
美甲图片
图片大全
情感图片
微信头像男
动态壁纸
动漫配图
伤感图片
首页
>
右肺上叶有多大
右肺上叶有多大,
ct诊断报告,右肺上叶多发性团块样高密度影,考虑占位,是什么病啊?
今天有点邪门,3位老人肺癌,平均年龄90岁,老年人怎样防癌?
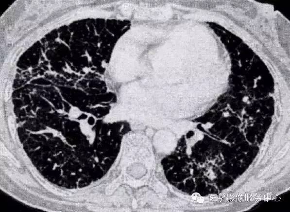
肺部炎症的"七大"常见ct表现
右肺结节术后证实为肺癌左肺还有病灶也会是癌吗
创伤性湿肺局限性实变影与结核反晕征鉴别诊断
更多推荐
右肺上叶是哪个位置
右肺上叶解剖