首页
伤感说说
动漫配图
心情说说
抖音文案
伤感图片
伤感说说:
伤感的句子说说心情
空间说说
心情说说
爱情说说
女生伤感说说
人生感悟
心情不好的说说
说说带图片
关于生活的说说
说说心情短语
qq空间说说带图片
个性说说
励志名言
一句话经典语录
感悟人生的经典句子
短句吧
情感故事
抖音文案
伤感图片:
伤感图片带字
非主流伤感图片
唯美伤感图片
女生伤感图片
唯美意境图片
悲伤的图片
唯美意境伤感图片
只有字的伤感图片
说说图片
伤心的图片
美甲图片
图片大全
情感图片
微信头像男
动态壁纸
动漫配图
伤感图片
首页
>
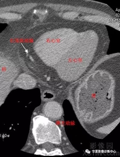
心脏CT解剖图解
心脏CT解剖图解,心脏ct解剖图
心脏冠状动脉ct解剖中文详细标注图文
影像解剖|心脏冠状动脉ct解剖中文详细标注(图文)
心脏冠状动脉ct解剖中文详细标注(图文)
心脏的这些ct切面图像你都能识别吗
心脏冠状动脉ct解剖中文详细标注(图文)cardiacanatomy
更多推荐
心脏ct解剖图
心脏ct解剖
心脏ct图片心脏造影
心脏ct横断面解剖图
盆腔ct解剖图
眼眶ct解剖图
颅脑ct解剖图
颅骨ct解剖图
心脏ct图片
心脏ct片子图片
心脏图解
颈部ct解剖图
腹部ct解剖图详细图
喉部ct解剖图
大脑ct解剖结构图讲解
头颅ct解剖
正常头颅ct解剖图
颅脑ct解剖
心脏ct
心脏ct报告单图片
正常颈部ct解剖图
正常人ct心脏图片
心脏ct报告
ct怎么看图解
心脏ct片子图片彩色
心脏泵血过程图解
脑ct正常结构解剖图
膝关节ct解剖图谱
正常心脏ct图片大全
脑ct图片讲解