首页
伤感说说
动漫配图
心情说说
抖音文案
伤感图片
伤感说说:
伤感的句子说说心情
空间说说
心情说说
爱情说说
女生伤感说说
人生感悟
心情不好的说说
说说带图片
关于生活的说说
说说心情短语
qq空间说说带图片
个性说说
励志名言
一句话经典语录
感悟人生的经典句子
短句吧
情感故事
抖音文案
伤感图片:
伤感图片带字
非主流伤感图片
唯美伤感图片
女生伤感图片
唯美意境图片
悲伤的图片
唯美意境伤感图片
只有字的伤感图片
说说图片
伤心的图片
美甲图片
图片大全
情感图片
微信头像男
动态壁纸
动漫配图
伤感图片
首页
>
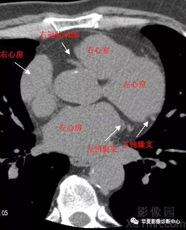
心脏CT解剖图解
心脏CT解剖图解,心脏ct解剖图
影像解剖|心脏冠状动脉ct解剖中文详细标注(图文)
心脏ct解剖ppt
影像解剖 心脏冠状动脉ct解剖中文详细标注(图文)
带你全面了解心脏冠状动脉ct解剖
心脏ct解剖ppt
更多推荐
心脏ct解剖图
心脏ct解剖
心脏ct图片心脏造影
心脏ct横断面解剖图
盆腔ct解剖图
眼眶ct解剖图
颅脑ct解剖图
颅骨ct解剖图
心脏ct图片
心脏ct片子图片
心脏图解
颈部ct解剖图
腹部ct解剖图详细图
喉部ct解剖图
大脑ct解剖结构图讲解
头颅ct解剖
正常头颅ct解剖图
颅脑ct解剖
心脏ct
心脏ct报告单图片
正常颈部ct解剖图
正常人ct心脏图片
心脏ct报告
ct怎么看图解
心脏ct片子图片彩色
心脏泵血过程图解
脑ct正常结构解剖图
膝关节ct解剖图谱
正常心脏ct图片大全
脑ct图片讲解