首页
伤感说说
动漫配图
心情说说
抖音文案
伤感图片
伤感说说:
伤感的句子说说心情
空间说说
心情说说
爱情说说
女生伤感说说
人生感悟
心情不好的说说
说说带图片
关于生活的说说
说说心情短语
qq空间说说带图片
个性说说
励志名言
一句话经典语录
感悟人生的经典句子
短句吧
情感故事
抖音文案
伤感图片:
伤感图片带字
非主流伤感图片
唯美伤感图片
女生伤感图片
唯美意境图片
悲伤的图片
唯美意境伤感图片
只有字的伤感图片
说说图片
伤心的图片
美甲图片
图片大全
情感图片
微信头像男
动态壁纸
动漫配图
伤感图片
首页
>
新冠肺炎肺部解剖图片
新冠肺炎肺部解剖图片,新冠肺炎解剖后的肺
全国第一,二例新冠肺炎遗体解剖完成,尸检为何如此重要?
磨玻璃阴影≠新冠肺炎,7点教你如何分辨!
首份新冠患者遗体解剖报告:病变聚焦肺部,其他脏器损伤证据不足!
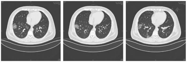
新冠肺炎患者肺部ct显示磨玻璃影(图片来自网络)
首例新冠肺炎逝者遗体解剖报告#:病变仍聚焦肺部,其他脏器损伤证据不
更多推荐
新冠肺炎解剖后的肺
新冠肺炎患者遗体解剖
肺部解剖图片
新冠肺炎肺部图片
新冠肺炎遗体解剖图片
新冠肺炎肺部感染图片
新冠肺炎的肺CT图片
新冠肺炎肺部影像
新冠肺炎真实图片
新冠肺炎遗体解剖
新冠肺炎死者肺部图片
新冠肺炎解剖图片
猪肺部解剖详细图解
肺部血管解剖结构图解
兔子肺炎解剖图片
肺部解剖图
正常肺部解剖图
肺部解剖
肺叶和肺段解剖图
肺部解剖结构图
肺部ct解剖图
肺部解剖结构图高清
肺部血管解剖
肺段解剖图
肺部解剖分叶分段
肺部ct怎么看图解
肺部图片真实照片
肺泡解剖图
肺段划分解剖图
肺部结构图