首页
伤感说说
动漫配图
心情说说
抖音文案
伤感图片
伤感说说:
伤感的句子说说心情
空间说说
心情说说
爱情说说
女生伤感说说
人生感悟
心情不好的说说
说说带图片
关于生活的说说
说说心情短语
qq空间说说带图片
个性说说
励志名言
一句话经典语录
感悟人生的经典句子
短句吧
情感故事
抖音文案
伤感图片:
伤感图片带字
非主流伤感图片
唯美伤感图片
女生伤感图片
唯美意境图片
悲伤的图片
唯美意境伤感图片
只有字的伤感图片
说说图片
伤心的图片
美甲图片
图片大全
情感图片
微信头像男
动态壁纸
动漫配图
伤感图片
首页
>
新冠肺炎肺部影像
新冠肺炎肺部影像,新冠肺炎
新冠肺炎的影像学表现小结
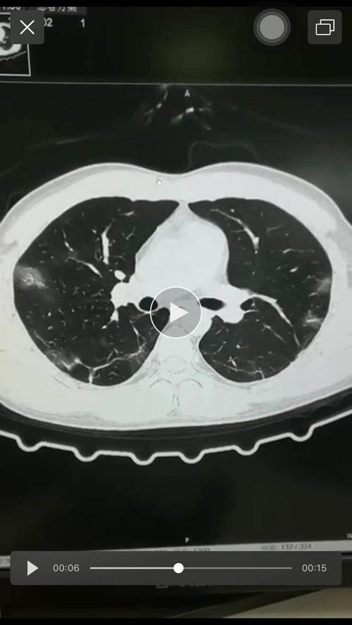
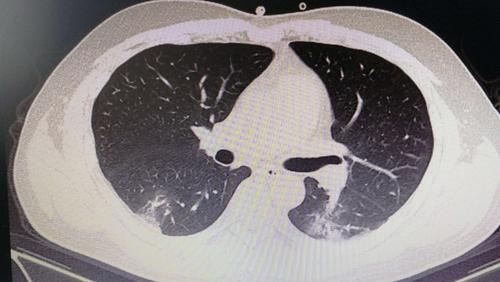
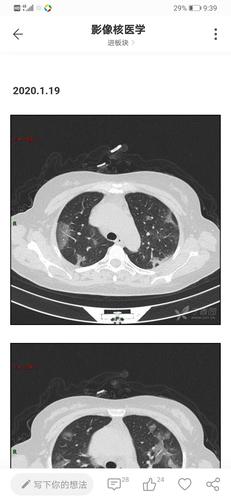
因为大众已了解到,新冠病毒感染后肺部ct会出现斑片状磨玻璃影
新冠肺炎(来自丁香园))
新冠肺炎感染后,患者的肺是什么样的?专家:这种最可怕
其它 阅图识病之新冠肺炎一例 写美篇 影像所示: 双肺可见多发大小不
更多推荐
新冠肺炎
新冠肺炎症状
抗击新冠肺炎
新冠肺炎图片
新冠肺炎病毒
新冠肺炎疫情
肺部阴影
新型肺炎最新动态
印度新冠肺炎
新冠肺炎手抄报
新冠肺炎疫苗
肺部
肺部结节
肺炎胸片
肺炎
肺部位置
肺部在哪个位置
肺炎症状
肺部肿瘤
大叶性肺炎
肺部ct
吸入性肺炎
肺部结构
肺炎ct图片
正常肺部ct图
小叶性肺炎
羊传染性胸膜肺炎
肺部听诊
猪传染性胸膜肺炎
肺炎图片