首页
伤感说说
动漫配图
心情说说
抖音文案
伤感图片
伤感说说:
伤感的句子说说心情
空间说说
心情说说
爱情说说
女生伤感说说
人生感悟
心情不好的说说
说说带图片
关于生活的说说
说说心情短语
qq空间说说带图片
个性说说
励志名言
一句话经典语录
感悟人生的经典句子
短句吧
情感故事
抖音文案
伤感图片:
伤感图片带字
非主流伤感图片
唯美伤感图片
女生伤感图片
唯美意境图片
悲伤的图片
唯美意境伤感图片
只有字的伤感图片
说说图片
伤心的图片
美甲图片
图片大全
情感图片
微信头像男
动态壁纸
动漫配图
伤感图片
首页
>
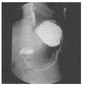
钡餐片子正常图片
钡餐片子正常图片,
x线钡剂造影食管充盈缺损
患者,男,42岁.吞咽阻挡感6个月,食管钡餐见图.最可能的斩断是)
zt0024:消化道钡餐-大肠篇
x6964:上消化道钡餐
去医院做了个钡餐,多年肠绞痛的原因找到了…我就问你这么崎岖的肠子
更多推荐
贵州苗族服饰图片欣赏
正常食管造影图片