首页
伤感说说
动漫配图
心情说说
抖音文案
伤感图片
伤感说说:
伤感的句子说说心情
空间说说
心情说说
爱情说说
女生伤感说说
人生感悟
心情不好的说说
说说带图片
关于生活的说说
说说心情短语
qq空间说说带图片
个性说说
励志名言
一句话经典语录
感悟人生的经典句子
短句吧
情感故事
抖音文案
伤感图片:
伤感图片带字
非主流伤感图片
唯美伤感图片
女生伤感图片
唯美意境图片
悲伤的图片
唯美意境伤感图片
只有字的伤感图片
说说图片
伤心的图片
美甲图片
图片大全
情感图片
微信头像男
动态壁纸
动漫配图
伤感图片
首页
>
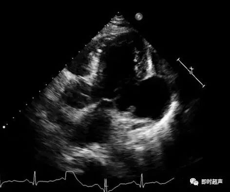
室壁瘤彩超图片
室壁瘤彩超图片,室壁瘤超声图片
室壁瘤破裂,经典!
心梗后室壁瘤还有假如何识别和诊断
一般情况尚可,但发现心脏确实发生重构,左室扩大,心尖形成室壁瘤
心梗后室壁瘤形成并室间隔穿孔
围手术期间,患者病情加重,复查心脏彩超示:ef40%,并可见左室后侧壁
更多推荐
室壁瘤超声图片
左心室室壁瘤图片
室壁瘤心电图图片
室壁瘤图片
心脏室壁瘤超声图片
室壁瘤超声
心脏彩超图片
室壁瘤
彩超图片
心室壁瘤
室壁瘤心电图表现
正常子宫彩超图
心尖室壁瘤
四维彩超图片
三个月胎儿图彩超图片
怀孕9周胎儿彩超图片
彩超单
彩超
彩超检查
5d彩超
彩超真实
彩超机
阴式彩超
腹部彩超
前列腺彩超
怀孕彩超
最明显的男宝宝彩超图
彩超单子看男女图解
二维彩超
五维彩超