首页
伤感说说
动漫配图
心情说说
抖音文案
伤感图片
伤感说说:
伤感的句子说说心情
空间说说
心情说说
爱情说说
女生伤感说说
人生感悟
心情不好的说说
说说带图片
关于生活的说说
说说心情短语
qq空间说说带图片
个性说说
励志名言
一句话经典语录
感悟人生的经典句子
短句吧
情感故事
抖音文案
伤感图片:
伤感图片带字
非主流伤感图片
唯美伤感图片
女生伤感图片
唯美意境图片
悲伤的图片
唯美意境伤感图片
只有字的伤感图片
说说图片
伤心的图片
美甲图片
图片大全
情感图片
微信头像男
动态壁纸
动漫配图
伤感图片
首页
>
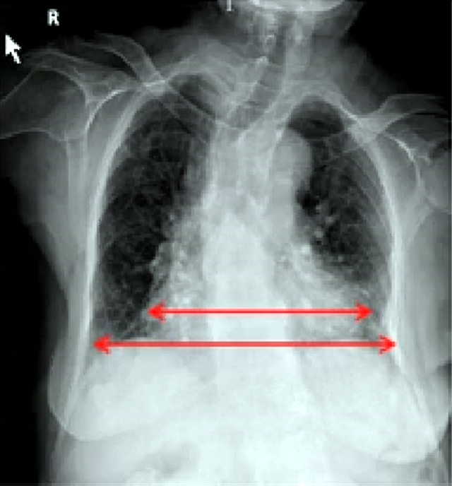
腹部平片DR
腹部平片DR,腹部ct
放射科数字dr胶片胸片正位异常片
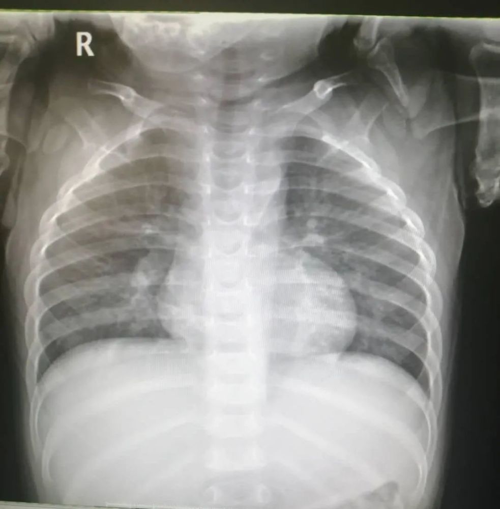
门诊胸片如下图所示:患儿,男,1 岁 2 月,因「咳嗽 4 天发热 2 天」
dr平片容易漏诊的骨盆转移瘤
工作点滴:如何提升基层医疗服务水平
图片
更多推荐
腹部ct
腹部图片位置图
腹部
腹部在哪
上腹部
DR片
腹部彩超
腹部按摩
腹部图
CT片
腹部解剖
腹部位置图
壶腹部
腹部解剖图
腹部疝
腹部肿瘤
腹部九分法
腹部在哪个位置
腹部疼痛位置图
腹部器官的位置图
腹部疼痛9位置图