首页
伤感说说
动漫配图
心情说说
抖音文案
伤感图片
伤感说说:
伤感的句子说说心情
空间说说
心情说说
爱情说说
女生伤感说说
人生感悟
心情不好的说说
说说带图片
关于生活的说说
说说心情短语
qq空间说说带图片
个性说说
励志名言
一句话经典语录
感悟人生的经典句子
短句吧
情感故事
抖音文案
伤感图片:
伤感图片带字
非主流伤感图片
唯美伤感图片
女生伤感图片
唯美意境图片
悲伤的图片
唯美意境伤感图片
只有字的伤感图片
说说图片
伤心的图片
美甲图片
图片大全
情感图片
微信头像男
动态壁纸
动漫配图
伤感图片
首页
>
x线穿透性
x线穿透性,x线
胸部基本病变x线表现ppt
【x线诊断要点】大叶性肺炎,支气管肺炎,球形肺炎,机化性肺炎,炎性假
征求心胸x线片,有分加!
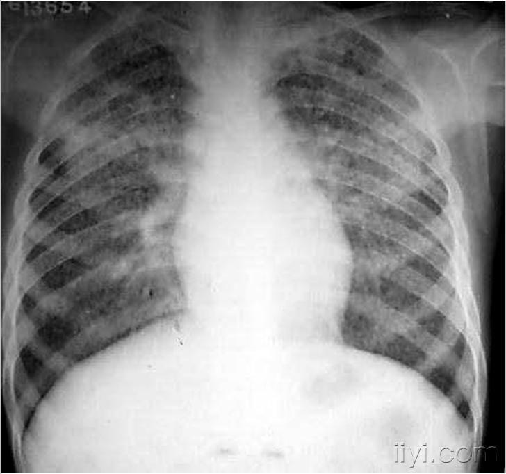
第二名患者的胸部x线片显示双肺浸润
它是指利用x射线对人体不同组织有不同穿透性的原理进行成像和疾病
更多推荐
x线
x线检查
x线仪器
x线摄影
穿透
骨肉瘤x线
足解剖x线
气胸x线胸片图解
穿透图形
胸腔积液x线胸片图解
气胸的x线表现
肺结核x线胸片图解
肺不张x线表现
肺气肿x线图片
股权穿透
仿穿透
手x线解剖图
股权穿透图
口腔致密性骨炎x线图
穿透图形设计
仿穿透图形
踝关节x线解剖
仿穿透海报
阳光穿透
肘关节x线解剖
仿穿透图形图片
气液平面x线图片
正常膝关节x线图片
仿穿透图形创意
骶尾椎侧位x线解剖图