首页
伤感说说
动漫配图
心情说说
抖音文案
伤感图片
伤感说说:
伤感的句子说说心情
空间说说
心情说说
爱情说说
女生伤感说说
人生感悟
心情不好的说说
说说带图片
关于生活的说说
说说心情短语
qq空间说说带图片
个性说说
励志名言
一句话经典语录
感悟人生的经典句子
短句吧
情感故事
抖音文案
伤感图片:
伤感图片带字
非主流伤感图片
唯美伤感图片
女生伤感图片
唯美意境图片
悲伤的图片
唯美意境伤感图片
只有字的伤感图片
说说图片
伤心的图片
美甲图片
图片大全
情感图片
微信头像男
动态壁纸
动漫配图
伤感图片
首页
>
肝下界
肝下界,肺下界
第六节 腹部评估ppt
肝内管道和肝脏分段断层解剖讲义.ppt 46页
主诉 病史 青年男性患者,ct提示脂肪肝,查体肝下界于脐水平以下三横指
肝右叶的下面和胆囊,后界为右肾上腺,右肾和十二指肠降部,下界是
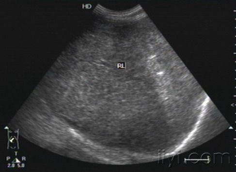
超声所见:肝脏体积明显增大,下界平脐.
更多推荐
肺下界
下界
我的世界下界
肺下界叩诊
下界合金
下界之星
下界图片
肺下界移动度
我的世界下界要塞
我的世界下界合金
我的世界下界更新
下界传送门
下界合金块
我的世界下界图片
下界合金镐
我的世界下界合金剑
下界合金剑
下界合金套
下界合金锭
下界合金碎片
下界合金图片
下界合金剑图片
下界合金锭怎么获得