首页
伤感说说
动漫配图
心情说说
抖音文案
伤感图片
伤感说说:
伤感的句子说说心情
空间说说
心情说说
爱情说说
女生伤感说说
人生感悟
心情不好的说说
说说带图片
关于生活的说说
说说心情短语
qq空间说说带图片
个性说说
励志名言
一句话经典语录
感悟人生的经典句子
短句吧
情感故事
抖音文案
伤感图片:
伤感图片带字
非主流伤感图片
唯美伤感图片
女生伤感图片
唯美意境图片
悲伤的图片
唯美意境伤感图片
只有字的伤感图片
说说图片
伤心的图片
美甲图片
图片大全
情感图片
微信头像男
动态壁纸
动漫配图
伤感图片
首页
>
腰部ct检查报告单图片
腰部ct检查报告单图片,肺部ct检查报告单图片
秦希铁向记者展示女儿的ct检查报告单和诊断证明书
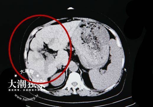
王女士腹部ct检查报告(红圈为肝脏所在位置)
ct检查显示,张先生第七颈椎骨折,脱位,脊髓和神经受压严重.
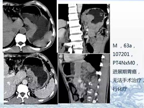
ct检查及诊断攻略——胃癌,结直肠癌
ct检查及诊断攻略胃癌结直肠癌
更多推荐
肺部ct检查报告单图片
腰部ct报告单图片
心脏ct检查报告单图片
ct检查报告单图片
头颅ct检查报告单图片
脑ct检查报告单图片
腰椎检查报告单图片
肺部ct检查报告单
ct检查报告单图片模板
ct检查报告单
ct检查报告单图片空白
ct检查报告单结果
腹部ct报告单图片
脑ct检查报告单
ct检查报告单模板
腹部ct报告单
ct检查报告
ct检查报告单空白模板
心脏ct报告单图片
ct报告单图片
脑ct诊断报告单图片
腰扭伤检查报告图片
肺炎检查报告单图片
正常的脑ct图片报告单
ct报告单
肺部ct报告单
病理检查报告单
ct诊断报告单
肺炎ct报告单图片
腰部ct片子图片