首页
伤感说说
动漫配图
心情说说
抖音文案
伤感图片
伤感说说:
伤感的句子说说心情
空间说说
心情说说
爱情说说
女生伤感说说
人生感悟
心情不好的说说
说说带图片
关于生活的说说
说说心情短语
qq空间说说带图片
个性说说
励志名言
一句话经典语录
感悟人生的经典句子
短句吧
情感故事
抖音文案
伤感图片:
伤感图片带字
非主流伤感图片
唯美伤感图片
女生伤感图片
唯美意境图片
悲伤的图片
唯美意境伤感图片
只有字的伤感图片
说说图片
伤心的图片
美甲图片
图片大全
情感图片
微信头像男
动态壁纸
动漫配图
伤感图片
首页
>
胸腔片子
胸腔片子,胸腔
胸膜炎,包裹性胸腔积液的治疗-现在可以行微创手术治疗
胸膜炎,包裹性胸腔积液的治疗-现在可以行微创手术治疗
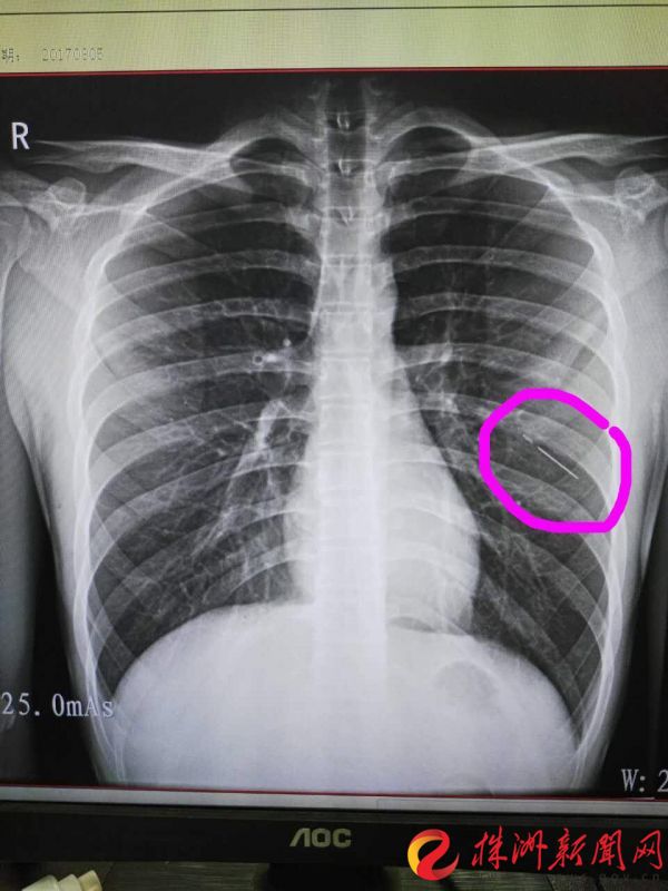
应征青年在体检中发现"胸腔藏针"
ct显示患者左肺炎症,左肺胸腔积液,肺不张
胸腔镜下纵膈肿瘤摘除术
更多推荐
胸腔
胸腔下面
胸腔部位
胸腔内部
胸腔穿刺
胸腔骨
胸腔结构
胸腔图
胸腔人体
女生胸腔
胸腔积液
胸腔骨骼
片子
ct片子图片
片子正常
ct片子
沾片子
骨折片子
小片子
胸腔示意图
拍片子
胸腔图片结构图
胸腔解剖图
胸腔位置图
胸腔结构图
胸腔骨骼图
颈椎片子
揪片子
骨折片子图
胸腔结构图解