首页
伤感说说
动漫配图
心情说说
抖音文案
伤感图片
伤感说说:
伤感的句子说说心情
空间说说
心情说说
爱情说说
女生伤感说说
人生感悟
心情不好的说说
说说带图片
关于生活的说说
说说心情短语
qq空间说说带图片
个性说说
励志名言
一句话经典语录
感悟人生的经典句子
短句吧
情感故事
抖音文案
伤感图片:
伤感图片带字
非主流伤感图片
唯美伤感图片
女生伤感图片
唯美意境图片
悲伤的图片
唯美意境伤感图片
只有字的伤感图片
说说图片
伤心的图片
美甲图片
图片大全
情感图片
微信头像男
动态壁纸
动漫配图
伤感图片
首页
>
肺上沟癌
肺上沟癌,肺癌患者的肺
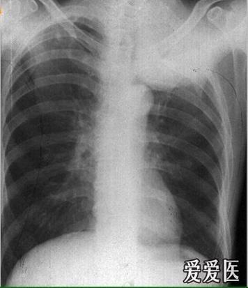
双侧胸廓对称,左肺上叶尖后段,右肺上叶后段及左肺下叶背段可见片状
双侧胸廓对称,左肺上叶尖后段,右肺上叶后段及左肺下叶背段可见片状
肺结节=肺癌?一文了解肺结节!
肺上沟癌
入院ct:右肺中叶肿块,怀疑肺癌
更多推荐
肺癌患者的肺
肺鳞癌
肺腺癌
肺小细胞癌
肺大细胞癌
肺癌小细胞癌图片大全
小细胞癌的肺结节形态
小细胞肺癌结节特点
小细胞肺癌图片
小细胞肺癌CT