首页
伤感说说
动漫配图
心情说说
抖音文案
伤感图片
伤感说说:
伤感的句子说说心情
空间说说
心情说说
爱情说说
女生伤感说说
人生感悟
心情不好的说说
说说带图片
关于生活的说说
说说心情短语
qq空间说说带图片
个性说说
励志名言
一句话经典语录
感悟人生的经典句子
短句吧
情感故事
抖音文案
伤感图片:
伤感图片带字
非主流伤感图片
唯美伤感图片
女生伤感图片
唯美意境图片
悲伤的图片
唯美意境伤感图片
只有字的伤感图片
说说图片
伤心的图片
美甲图片
图片大全
情感图片
微信头像男
动态壁纸
动漫配图
伤感图片
首页
>
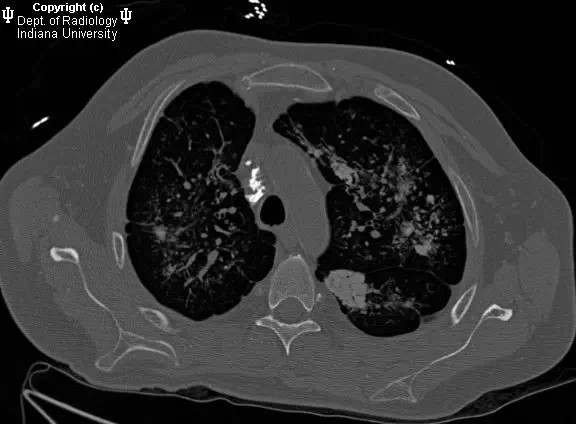
左肺下叶纤维灶
左肺下叶纤维灶,肺纤维灶
右肺中叶少许纤维灶吃什么食物好
少见肺部影像(肺奇叶)
2周前ct检查肺纤维灶,最近5天晚上有低
肺纤维灶
左肺下叶纤维病灶并局部胸膜增厚粘连
更多推荐
肺纤维灶
纤维灶
纤维
再生纤维
高纤维食物
纤维棉
纤维粉
肌原纤维
凯夫拉纤维
石棉纤维
莱赛尔纤维
玻璃纤维
纤维帽
木质纤维
纤维网
抗裂纤维
铜氨纤维
合成纤维
纤维素
纤维桩
聚脂纤维
竹木纤维墙板
纤维布料图片
醋酯纤维