首页
伤感说说
动漫配图
心情说说
抖音文案
伤感图片
伤感说说:
伤感的句子说说心情
空间说说
心情说说
爱情说说
女生伤感说说
人生感悟
心情不好的说说
说说带图片
关于生活的说说
说说心情短语
qq空间说说带图片
个性说说
励志名言
一句话经典语录
感悟人生的经典句子
短句吧
情感故事
抖音文案
伤感图片:
伤感图片带字
非主流伤感图片
唯美伤感图片
女生伤感图片
唯美意境图片
悲伤的图片
唯美意境伤感图片
只有字的伤感图片
说说图片
伤心的图片
美甲图片
图片大全
情感图片
微信头像男
动态壁纸
动漫配图
伤感图片
首页
>
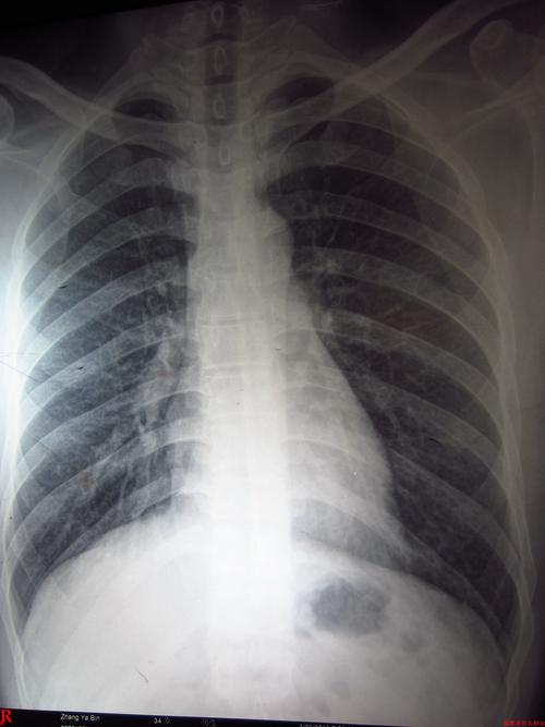
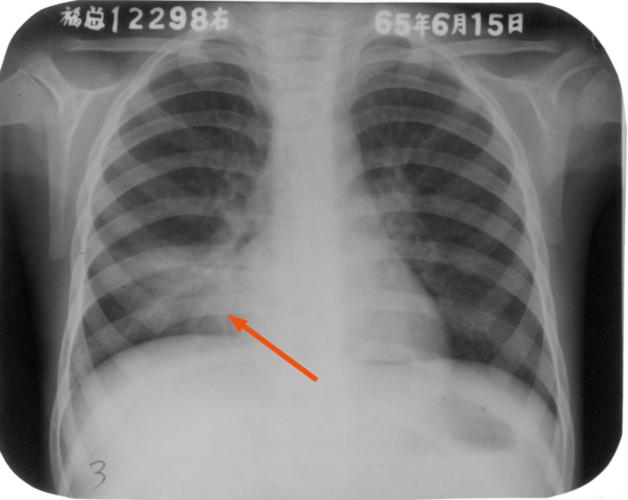
肺部图片胸片
肺部图片胸片,胸片图片肺大泡
这张胸片肺部有问题吗?
影像解剖入门正常胸片怎么看
胸片如何看炎症马上把这批病例刻在脑海里
x线胸片阅读基础ppt
(经验)实习生如何读胸片
更多推荐
胸片图片肺大泡
胸片图片肺气肿
肺部胸片
胸片图片
胸片正常图片
肺部图片
正常胸片图片图解
正常胸片和肺炎胸片图
肺部正常胸片影像图片
正常肺部胸片
正常人胸片图片
正常人的肺部胸片图
肺部图片真实照片
肺结核胸片
肺癌胸片
胸片肺气肿
正常肺部胸片正常人
正常胸片和异常胸片
胸片正常图片女性
胸片正常图片结节影
健康肺部ct图片
肺炎胸片
正常胸片影像图片
气胸胸片
气胸x线胸片图解
胸片胸透
肺部结构图
正常人的肺部ct图片
正常肺部ct图
拍胸片照片