首页
伤感说说
动漫配图
心情说说
抖音文案
伤感图片
伤感说说:
伤感的句子说说心情
空间说说
心情说说
爱情说说
女生伤感说说
人生感悟
心情不好的说说
说说带图片
关于生活的说说
说说心情短语
qq空间说说带图片
个性说说
励志名言
一句话经典语录
感悟人生的经典句子
短句吧
情感故事
抖音文案
伤感图片:
伤感图片带字
非主流伤感图片
唯美伤感图片
女生伤感图片
唯美意境图片
悲伤的图片
唯美意境伤感图片
只有字的伤感图片
说说图片
伤心的图片
美甲图片
图片大全
情感图片
微信头像男
动态壁纸
动漫配图
伤感图片
首页
>
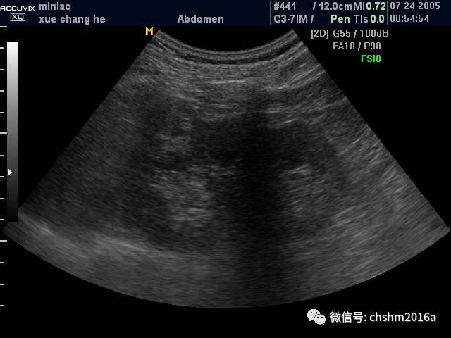
肾肿瘤彩超
肾肿瘤彩超,肾肿瘤ct
肾肿瘤
肾肿瘤
有肾癌的朋友们进来看下,这是什么期的万分感谢|帖子详情页|兴祥肿瘤
只能为肾癌的诊断提供一定线索,诊断主要靠影像学的证据,包括腹部彩超
肾肿瘤超声鉴别诊断
更多推荐
肾肿瘤ct
肾肿瘤
肾肿瘤良性
肾肿瘤图片
肾肿瘤ct图片
肾肿瘤图片早期
肾肿瘤图片恶性的
前列腺彩超
良性肾肿瘤图片大全
肾肿瘤图片真实图片
彩超检查
彩超
彩超单
系统彩超
腹部彩超
怀孕彩超
5d彩超
彩超真实
4维彩超
五维彩超
彩超机
二维彩超
阴式彩超
心脏彩超图片
彩超图片
正常子宫彩超图
四维彩超图片
彩超单子看男女图解
怀孕9周胎儿彩超图片
三个月胎儿图彩超图片