首页
伤感说说
动漫配图
心情说说
抖音文案
伤感图片
伤感说说:
伤感的句子说说心情
空间说说
心情说说
爱情说说
女生伤感说说
人生感悟
心情不好的说说
说说带图片
关于生活的说说
说说心情短语
qq空间说说带图片
个性说说
励志名言
一句话经典语录
感悟人生的经典句子
短句吧
情感故事
抖音文案
伤感图片:
伤感图片带字
非主流伤感图片
唯美伤感图片
女生伤感图片
唯美意境图片
悲伤的图片
唯美意境伤感图片
只有字的伤感图片
说说图片
伤心的图片
美甲图片
图片大全
情感图片
微信头像男
动态壁纸
动漫配图
伤感图片
首页
>
脑CT正常报告单
脑CT正常报告单,脑CT报告模板
脑ct
1996,休宁县人民医院出具的王某ct检查报告单.
医院出具的ct诊断报告.
照蓝光,未换血,脑部磁共振,颅脑ct均正常
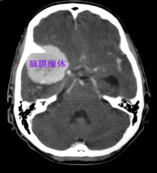
头颅ct图中显示右侧有个大大的脑膜瘤
更多推荐
脑CT报告模板
脑ct检查报告单
正常脑ct诊断报告单
正常头颅ct报告模板
CT报告单正常的图片
脑ct报告单
脑ct报告单正常
脑ct报告单头颅
正常的脑ct图片报告单
脑ct报告单图片
脑部CT报告单
ct报告单
ct检查报告单
头颅ct报告单
脑ct检查报告单图片
脑ct报告单图片头颅
脑ct诊断报告单图片
ct报告单正常的图片
正常人肺部ct报告
正常脑ct图片大全报告
肺部ct报告单
腹部ct报告单
脑梗ct报告单图片
ct报告单模板
脑肿瘤报告单
肺炎ct报告单
ct报告单电子版
正常肺部ct报告单图片
正常脑ct图片
正常的肺部ct诊断报告