首页
伤感说说
动漫配图
心情说说
抖音文案
伤感图片
伤感说说:
伤感的句子说说心情
空间说说
心情说说
爱情说说
女生伤感说说
人生感悟
心情不好的说说
说说带图片
关于生活的说说
说说心情短语
qq空间说说带图片
个性说说
励志名言
一句话经典语录
感悟人生的经典句子
短句吧
情感故事
抖音文案
伤感图片:
伤感图片带字
非主流伤感图片
唯美伤感图片
女生伤感图片
唯美意境图片
悲伤的图片
唯美意境伤感图片
只有字的伤感图片
说说图片
伤心的图片
美甲图片
图片大全
情感图片
微信头像男
动态壁纸
动漫配图
伤感图片
首页
>
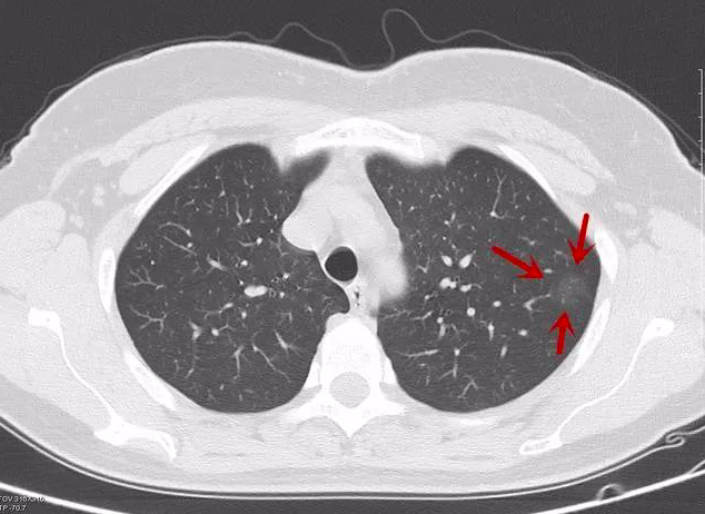
肺癌的ct影像图片
肺癌的ct影像图片,
大家帮忙看看这肺部ct片 能不能确定这就是肺癌啊 有什么保守疗法
正常肺对比肺癌ct图片
看不懂ct图像?各种类型肺癌典型表现!
中央型肺癌的ct表现
病例小细胞肺癌1例ct影像特征
更多推荐
杜应强简介
繁体字十五画的字