首页
伤感说说
动漫配图
心情说说
抖音文案
伤感图片
伤感说说:
伤感的句子说说心情
空间说说
心情说说
爱情说说
女生伤感说说
人生感悟
心情不好的说说
说说带图片
关于生活的说说
说说心情短语
qq空间说说带图片
个性说说
励志名言
一句话经典语录
感悟人生的经典句子
短句吧
情感故事
抖音文案
伤感图片:
伤感图片带字
非主流伤感图片
唯美伤感图片
女生伤感图片
唯美意境图片
悲伤的图片
唯美意境伤感图片
只有字的伤感图片
说说图片
伤心的图片
美甲图片
图片大全
情感图片
微信头像男
动态壁纸
动漫配图
伤感图片
首页
>
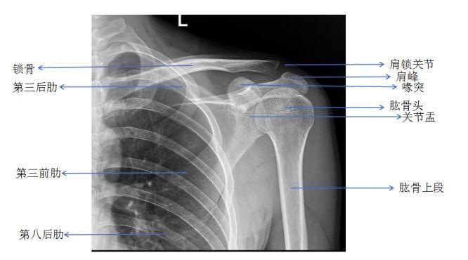
儿童肩关节解剖X线图
儿童肩关节解剖X线图,肩峰骨骺x线图片
「解剖」超全肩关节解剖图解,值得收藏!
肩关节解剖及常见疾病影像表现
【专业篇】肩关节影像应用与解剖
遇到肩部外伤时,有必要做肩关节ct吗?
肩关节功能解剖ppt
更多推荐
肩峰骨骺x线图片
儿童肩关节骨骺线图片
小儿肩关节正常x光片
儿童肩关节x光片
儿童肩关节x线图片
儿童肘关节x线解剖
儿童肩关节解剖图
正常肩关节x线解剖图
肩关节x线解剖
儿童肩关节x线
肩关节高清图片解剖图
膝关节x线解剖
肘关节x线解剖
肩关节穿胸位x线图解
踝关节x线解剖
腕关节x线解剖
肩关节正常解剖图
肩关节解剖图谱高清
肩关节解剖图
人体肩关节解剖图
肩关节解剖图正面
肩关节的解剖结构图
肩关节x线图片
正常肩关节x线图片
肩关节半脱位x线图片
肩关节周围肌肉解剖图
肩关节肌肉解剖图
肩关节三维解剖图
肩关节脱位x线图片
儿童长骨x线解剖