首页
伤感说说
动漫配图
心情说说
抖音文案
伤感图片
伤感说说:
伤感的句子说说心情
空间说说
心情说说
爱情说说
女生伤感说说
人生感悟
心情不好的说说
说说带图片
关于生活的说说
说说心情短语
qq空间说说带图片
个性说说
励志名言
一句话经典语录
感悟人生的经典句子
短句吧
情感故事
抖音文案
伤感图片:
伤感图片带字
非主流伤感图片
唯美伤感图片
女生伤感图片
唯美意境图片
悲伤的图片
唯美意境伤感图片
只有字的伤感图片
说说图片
伤心的图片
美甲图片
图片大全
情感图片
微信头像男
动态壁纸
动漫配图
伤感图片
首页
>
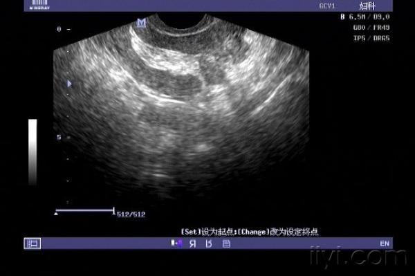
子宫穿孔超声表现图
子宫穿孔超声表现图,子宫穿孔超声图片
典型人流术子宫穿孔 - 超声医学讨论版 - 爱爱医医学
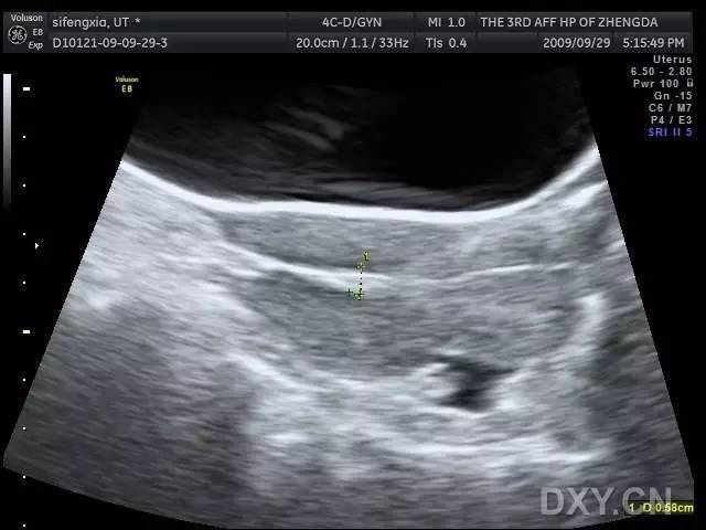
刚出炉的"子宫穿孔"1个 - 超声医学讨论版 - 爱爱医
子宫穿孔的超声诊断
刚出炉的"子宫穿孔"1个 - 超声医学讨论版 - 爱爱医
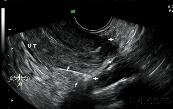
超声诊断子宫穿孔并大网膜嵌顿1例
更多推荐
子宫穿孔超声图片
子宫穿孔彩超下表现
子宫穿孔彩超图
子宫穿孔b超图片
子宫穿孔b超报告图片
b超提示子宫穿孔图片
子宫穿孔图片
腹腔镜下子宫穿孔图片
子宫穿孔诊断书图片
子宫穿孔
动脉导管未闭超声表现
肝包虫病超声表现图片
脂肪肝超声表现
肝包虫囊肿超声图片
超声内镜
脂肪肝的超声图片
超声心动图
超声
动脉导管未闭超声图解
超声波示意图
肝包虫病超声图片
超声图像
超声检查
典型肝包虫的超声图片
超声心电图
超声诊断
乳腺超声
超声机
超声电机
超声探头