首页
伤感说说
动漫配图
心情说说
抖音文案
伤感图片
伤感说说:
伤感的句子说说心情
空间说说
心情说说
爱情说说
女生伤感说说
人生感悟
心情不好的说说
说说带图片
关于生活的说说
说说心情短语
qq空间说说带图片
个性说说
励志名言
一句话经典语录
感悟人生的经典句子
短句吧
情感故事
抖音文案
伤感图片:
伤感图片带字
非主流伤感图片
唯美伤感图片
女生伤感图片
唯美意境图片
悲伤的图片
唯美意境伤感图片
只有字的伤感图片
说说图片
伤心的图片
美甲图片
图片大全
情感图片
微信头像男
动态壁纸
动漫配图
伤感图片
首页
>
肺癌胸片影像图片
肺癌胸片影像图片,肺癌ct图片图解
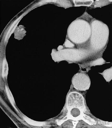
支气管肺癌的钙化在胸片上很少显示,6%~10%的肿瘤在ct上可见钙化.
但是胸片体检有很大的问题,漏诊率很高,尤其是磨玻璃表现的早期肺癌
让人琢磨不透的肺肿块肺癌1例ct影像
玉佩致胸片阴影误诊?男子七个月后确诊肺癌晚期,院方被判赔
肺腺癌靶向药物治疗有哪些 预后会发生变化吗|肺癌|单抗|吉非_网易
更多推荐
肺癌ct图片图解
肺癌胸片图
正常胸片和异常胸片
正常胸片 男性
正常肺和肺癌图片
支气管炎胸片图片
肺肿瘤ct图片表现
肺癌早期八个信号
肺癌早期痰液图片
不正常的胸片图
肺癌诊断报告
肺癌图片高清图片ct
正常的胸片
正常肺对比肺癌ct图片
正常肺部胸片
女人得肺癌的前兆
肺癌ct图片胸片
早期肺癌CT图
肺癌患者的肺
早期肺癌ct报告单
肺炎胸片影像图片
肺癌的x线表现图片
肺癌x线表现
肺癌晚期真人图片大全
正常胸片影像图片
肺癌胸片
肺炎胸片图解
肺结核胸片影像图片
中央型肺癌胸片
肺癌胸片表现