首页
伤感说说
动漫配图
心情说说
抖音文案
伤感图片
伤感说说:
伤感的句子说说心情
空间说说
心情说说
爱情说说
女生伤感说说
人生感悟
心情不好的说说
说说带图片
关于生活的说说
说说心情短语
qq空间说说带图片
个性说说
励志名言
一句话经典语录
感悟人生的经典句子
短句吧
情感故事
抖音文案
伤感图片:
伤感图片带字
非主流伤感图片
唯美伤感图片
女生伤感图片
唯美意境图片
悲伤的图片
唯美意境伤感图片
只有字的伤感图片
说说图片
伤心的图片
美甲图片
图片大全
情感图片
微信头像男
动态壁纸
动漫配图
伤感图片
首页
>
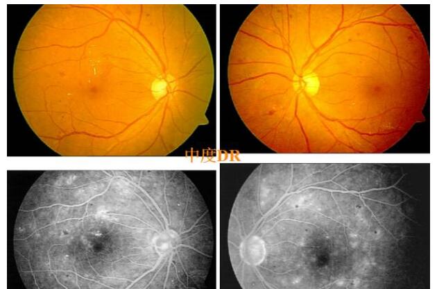
黄斑病变图片 症状
黄斑病变图片 症状,黄斑病变自检图
运城复明中医眼底病医院-视网膜色素变性_黄斑变性_黄斑病变_眼底出血
看见的物体被扭曲,颜色变暗等等,这些都是黄斑病变的典型症状
所有分类 医药卫生 临床医学 黄斑病变wppt 黄斑病变 黄斑病变的症状
糖尿病视网膜病变有哪些症状,哪些危害?
视力模糊警惕黄斑病变危害视力视物模糊变形当心黄斑病变
更多推荐
黄斑病变自检图
黄斑病变图片 测试
黄斑病变图片
黄斑病变眼睛
眼睛黄斑病变图片
黄斑病变图片症状
眼睛黄斑病变的图片
黄斑病变眼底图片
黄斑病变自测图
湿疹图片初期症状图片
疥疮图片和症状图片
黄斑病变
黄斑病变失明
黄斑病变治疗方法
黄斑病变色素
皮炎图片和症状
淋病的症状和图片
手足口病症状图片
外阴癌前病变的症状图
湿疹症状图片
正常眼睛黄斑图片
白眼球上有黄斑图片
外阴癌什么症状图片
过敏性皮炎图片和症状
鹅掌风症状图片
头皮癣症状图片
痱子症状图片
牛皮肤癣的症状图片
腮腺炎的症状图片
外阴白斑癌癌变的图片