首页
伤感说说
动漫配图
心情说说
抖音文案
伤感图片
伤感说说:
伤感的句子说说心情
空间说说
心情说说
爱情说说
女生伤感说说
人生感悟
心情不好的说说
说说带图片
关于生活的说说
说说心情短语
qq空间说说带图片
个性说说
励志名言
一句话经典语录
感悟人生的经典句子
短句吧
情感故事
抖音文案
伤感图片:
伤感图片带字
非主流伤感图片
唯美伤感图片
女生伤感图片
唯美意境图片
悲伤的图片
唯美意境伤感图片
只有字的伤感图片
说说图片
伤心的图片
美甲图片
图片大全
情感图片
微信头像男
动态壁纸
动漫配图
伤感图片
首页
>
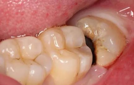
智齿蛀牙图片
智齿蛀牙图片,智齿图片蛀牙
我真的觉得我的智齿好大颗
"智齿"给人带来多少痛苦?
当我的智齿蛀牙后我.
智齿久拖不拔,会带来十分痛苦的后果!其中包括这4点
其次,智齿本身可能有蛀牙,包括智齿前面的大牙也有变色,这些蛀牙也会
更多推荐
智齿图片蛀牙
智齿蛀牙牙洞照片
智齿严重蛀牙图片
智齿图片卡通图片
智齿蛀牙
智齿图片
蛀牙图片
智齿图片正常
牙齿图片
智齿蛀牙蚜虫
蛀牙图片儿童
智齿图片发炎
蛀牙最严重图片
正常的智齿图片
蛀牙图片黑点
智齿图片可爱
智齿的位置图片
儿童蛀牙图片大全烂牙
智齿烂了只剩牙根图片
蛀牙图片儿童卡通图片
牙齿蛀虫恶心图片
不能补的蛀牙图片
智齿拔牙过程
不需要拔的智齿图片
哪种智齿最难拔图片
智齿发黑烂了图片
智齿图片是什么样的
牙虫图片
智齿长什么样子图片
智齿图片表情包