首页
伤感说说
动漫配图
心情说说
抖音文案
伤感图片
伤感说说:
伤感的句子说说心情
空间说说
心情说说
爱情说说
女生伤感说说
人生感悟
心情不好的说说
说说带图片
关于生活的说说
说说心情短语
qq空间说说带图片
个性说说
励志名言
一句话经典语录
感悟人生的经典句子
短句吧
情感故事
抖音文案
伤感图片:
伤感图片带字
非主流伤感图片
唯美伤感图片
女生伤感图片
唯美意境图片
悲伤的图片
唯美意境伤感图片
只有字的伤感图片
说说图片
伤心的图片
美甲图片
图片大全
情感图片
微信头像男
动态壁纸
动漫配图
伤感图片
首页
>
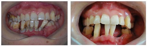
牙周炎治疗前后效果图
牙周炎治疗前后效果图,牙周炎与牙龈炎区别图
1例重度牙周炎的治疗
牙周炎的诊治(龈上洁治,龈下刮治,根面平整,牙合治疗,松牙固定术,牙周
因牙列不齐引起的侵袭性牙周炎病例治疗一例
牙周炎常规治疗一例
(2)恒久性夹板的适应证 ①经暂时性夹板治疗,证明疗效良好;②牙周炎症
更多推荐
牙周炎与牙龈炎区别图
牙周炎怎么治疗
牙周炎治疗
灰指甲治疗前后效果图
牙周炎图片症状图片
轻度牙周炎图片
伊藤痣治疗前后效果图
最严重牙周炎的图片
牙周炎图片早期
牙周炎图片晚期
牙周炎图片
牙周炎图片早期症状
牙周炎症状
牙周炎
慢性牙周炎
晚期牙周炎
重度牙周炎
如何判断自己牙周炎
牙周炎真人
牙周炎的症状表现
成人牙周炎
智齿牙周炎
牙周炎卡通
治疗室效果图
治疗室治疗台图片
输液室治疗室效果图
医院治疗室装修效果图
护士治疗室效果图
配药治疗室布局图片
灰指甲治疗过程图