首页
伤感说说
动漫配图
心情说说
抖音文案
伤感图片
伤感说说:
伤感的句子说说心情
空间说说
心情说说
爱情说说
女生伤感说说
人生感悟
心情不好的说说
说说带图片
关于生活的说说
说说心情短语
qq空间说说带图片
个性说说
励志名言
一句话经典语录
感悟人生的经典句子
短句吧
情感故事
抖音文案
伤感图片:
伤感图片带字
非主流伤感图片
唯美伤感图片
女生伤感图片
唯美意境图片
悲伤的图片
唯美意境伤感图片
只有字的伤感图片
说说图片
伤心的图片
美甲图片
图片大全
情感图片
微信头像男
动态壁纸
动漫配图
伤感图片
首页
>
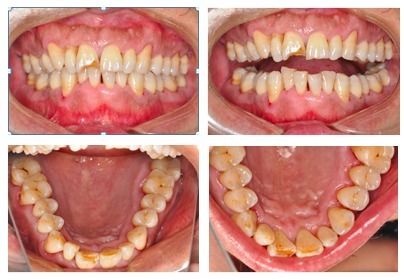
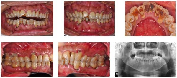
重度牙周炎种牙图片
重度牙周炎种牙图片,重度牙周炎图片
慢性牙周炎伴牙槽骨吸收 口腔护理习惯改善牙周状况
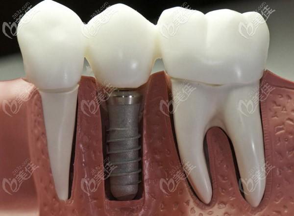
治疗性质的牙科治疗,比如拔牙,根管治疗,治疗牙周病,牙龈炎等的费用
牙周炎会导致牙龈萎缩,牙槽骨吸收,是导致黑三角形成的主要原因之一.
重度牙周炎顾客口内照片
慢性牙周炎伴牙槽骨吸收 口腔护理习惯改善牙周状况
更多推荐
重度牙周炎图片
牙龈炎和牙周炎的图片
牙周炎图片及症状图片
轻度牙周炎图片
牙周炎图片严重
牙周炎与牙龈炎区别图
最严重牙周炎的图片
牙周炎图片
牙周炎图片早期
牙周炎图片晚期
牙周炎图片症状
重度牙周炎
牙周炎真人图片
严重牙周病图片
牙周炎图片治疗方法
严重牙周袋图片
牙周炎早中晚期图片
牙周炎图片早期症状
牙龈炎图片
轻度牙周炎
牙周病晚期图片
中度牙周炎
轻中重度牙周炎标准
牙髓炎图片
牙龈炎症状图片
牙周袋图片
牙周炎
牙周袋外观图片
牙周炎怎么治疗
晚期牙周炎