首页
伤感说说
动漫配图
心情说说
抖音文案
伤感图片
伤感说说:
伤感的句子说说心情
空间说说
心情说说
爱情说说
女生伤感说说
人生感悟
心情不好的说说
说说带图片
关于生活的说说
说说心情短语
qq空间说说带图片
个性说说
励志名言
一句话经典语录
感悟人生的经典句子
短句吧
情感故事
抖音文案
伤感图片:
伤感图片带字
非主流伤感图片
唯美伤感图片
女生伤感图片
唯美意境图片
悲伤的图片
唯美意境伤感图片
只有字的伤感图片
说说图片
伤心的图片
美甲图片
图片大全
情感图片
微信头像男
动态壁纸
动漫配图
伤感图片
首页
>
瞳孔扩散图片 颅骨
瞳孔扩散图片 颅骨,瞳孔扩散图片散开
迈普神外之声丨peek材料在颅骨的精准修复
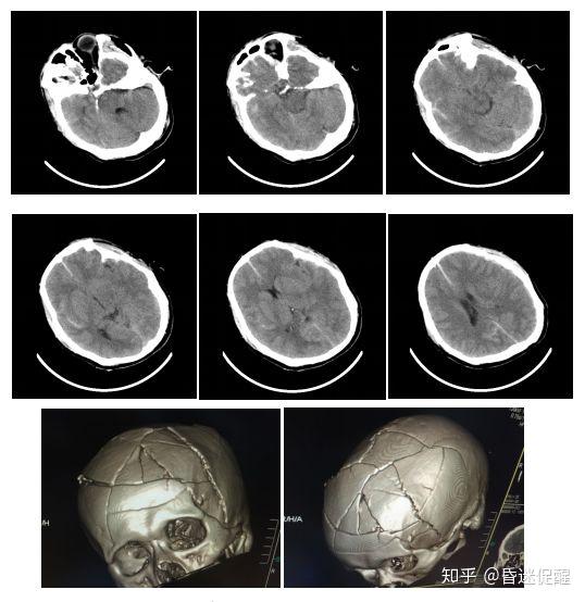
颅骨粉碎性骨折并上矢状窦损伤并硬膜外血肿并脑疝形成
轴索损伤,左侧额颞顶硬膜下少量出血,蛛网膜下腔出血,颅骨粉碎性骨折
七旬大娘双眼瞳孔"消失"近40年!
民间故事瞳孔里的魔影
更多推荐
瞳孔扩散图片散开
瞳孔扩散和正常瞳孔图
瞳孔扩散图片
瞳孔扩散图片对比
瞳孔扩散图片很大
颅骨骨瘤图片
瞳孔散开和没散开图片
正常瞳孔和瞳孔放大图
颅骨图片
瞳孔扩散散开
瞳孔放大图片
瞳孔图片
瞳孔扩散
骷颅骨图片
颅骨结构图
颅骨解剖图
颅骨解剖结构图
面颅骨解剖图
颅骨骨瘤
癌症晚期全身扩散图片
癌症扩散后出疙瘩图片
颅骨凹陷
瞳孔大小标准图
瞳孔全图
颅骨
颅骨解剖
颅骨缝
颅骨牵引
脑颅骨
瞳孔特写