首页
伤感说说
动漫配图
心情说说
抖音文案
伤感图片
伤感说说:
伤感的句子说说心情
空间说说
心情说说
爱情说说
女生伤感说说
人生感悟
心情不好的说说
说说带图片
关于生活的说说
说说心情短语
qq空间说说带图片
个性说说
励志名言
一句话经典语录
感悟人生的经典句子
短句吧
情感故事
抖音文案
伤感图片:
伤感图片带字
非主流伤感图片
唯美伤感图片
女生伤感图片
唯美意境图片
悲伤的图片
唯美意境伤感图片
只有字的伤感图片
说说图片
伤心的图片
美甲图片
图片大全
情感图片
微信头像男
动态壁纸
动漫配图
伤感图片
首页
>
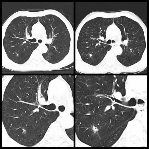
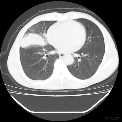
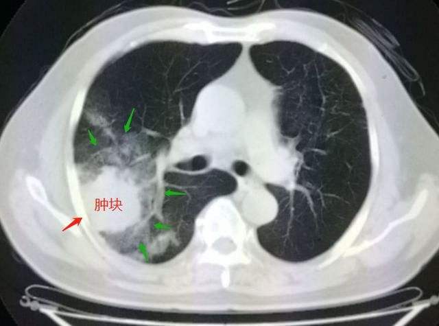
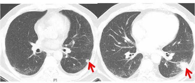
肺癌晚期影像图片
肺癌晚期影像图片,肺癌影像图片晚期
肺癌ct片 ! - 医学影像学讨论版 - 爱爱医医学论坛
肺癌? - 医学影像学讨论版 - 爱爱医医学论坛
肺结节就是肺癌吗?特征性影像了解一下
年年体检都没事,今年做了ct,为什么一下子就肺癌晚期了?
必要时还需行增强ct检查,参照典型 肺癌 的影像学表现(胸膜凹陷,分叶
更多推荐
肺癌影像图片晚期
肺癌影像图片早期
肺癌影像图片
肺癌晚期图片
肺癌晚期图片真人
肺癌晚期图片ct片子
肺癌图片高清图片
肝癌影像图片
正常肺和肺癌图片
肺纤维化图片影像
肺癌早期痰液图片
胃癌晚期图片病人
胃癌晚期图片
直肠癌晚期图片
骨癌晚期图片
肺癌图片
肺癌切下来图片
肺癌晚期
肺癌早期杵状指图片
肺癌ct图片
淋巴癌晚期图片
胃癌晚期图片胃镜
肝癌ct片图片图解
早期肺癌痰中带血图片
宫颈癌晚期图片
直肠癌晚期肛门图片
股藓图片晚期图片
宫颈癌晚期图片症状
宫颈癌晚期死前图片
肺纤维化和正常肺图片