首页
伤感说说
动漫配图
心情说说
抖音文案
伤感图片
伤感说说:
伤感的句子说说心情
空间说说
心情说说
爱情说说
女生伤感说说
人生感悟
心情不好的说说
说说带图片
关于生活的说说
说说心情短语
qq空间说说带图片
个性说说
励志名言
一句话经典语录
感悟人生的经典句子
短句吧
情感故事
抖音文案
伤感图片:
伤感图片带字
非主流伤感图片
唯美伤感图片
女生伤感图片
唯美意境图片
悲伤的图片
唯美意境伤感图片
只有字的伤感图片
说说图片
伤心的图片
美甲图片
图片大全
情感图片
微信头像男
动态壁纸
动漫配图
伤感图片
首页
>
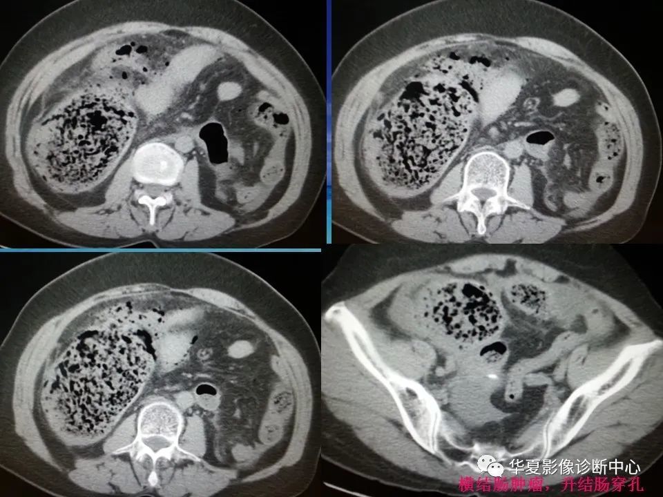
消化道穿孔影像图片
消化道穿孔影像图片,消化道穿孔图片
消化道穿孔ct影像大汇总看完印象深刻
消化道穿孔ct影像大汇总看完印象深刻
消化道穿孔的ct诊断
消化道穿孔ct影像大汇总,看完印象深刻!_腾讯新闻
消化道穿孔ct影像大汇总看完印象深刻
更多推荐
消化道穿孔图片
消化道穿孔x线图片
消化道穿孔典型ct图片
消化道穿孔x片
消化道穿孔
消化道穿孔x线
消化道穿孔x线表现
消化道呼吸道图片
消化道图片结构图
消化道图片解剖图高清
消化道图片解剖图
消化道图片
上消化道图片
消化道简易图片
人体消化道图片
消化道图片器官
肺纤维化图片影像
消化道出血图片
消化道图片卡通
人体消化道结构图片
下消化道出血图片
消化道示意图
消化道简图
消化道解剖图详细图
肝癌影像图片
消化腺图片
消化道结构图
消化系统图片
肺癌影像图片早期
消化道解剖图