首页
伤感说说
动漫配图
心情说说
抖音文案
伤感图片
伤感说说:
伤感的句子说说心情
空间说说
心情说说
爱情说说
女生伤感说说
人生感悟
心情不好的说说
说说带图片
关于生活的说说
说说心情短语
qq空间说说带图片
个性说说
励志名言
一句话经典语录
感悟人生的经典句子
短句吧
情感故事
抖音文案
伤感图片:
伤感图片带字
非主流伤感图片
唯美伤感图片
女生伤感图片
唯美意境图片
悲伤的图片
唯美意境伤感图片
只有字的伤感图片
说说图片
伤心的图片
美甲图片
图片大全
情感图片
微信头像男
动态壁纸
动漫配图
伤感图片
首页
>
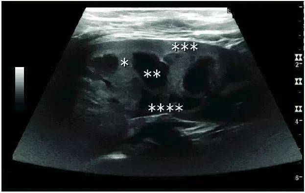
超声肾脏上下极图片
超声肾脏上下极图片,肾的上中下极区分图解
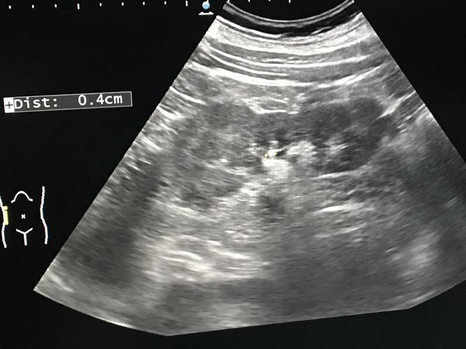
超声入门:肾结石超声诊断
1.3超声右肾结石0.4cm
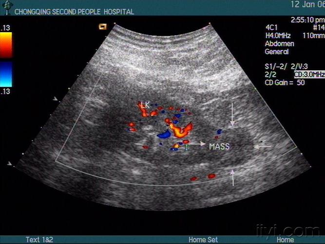
长不大的肾肿瘤 - 超声医学讨论版 - 爱爱医医学论坛
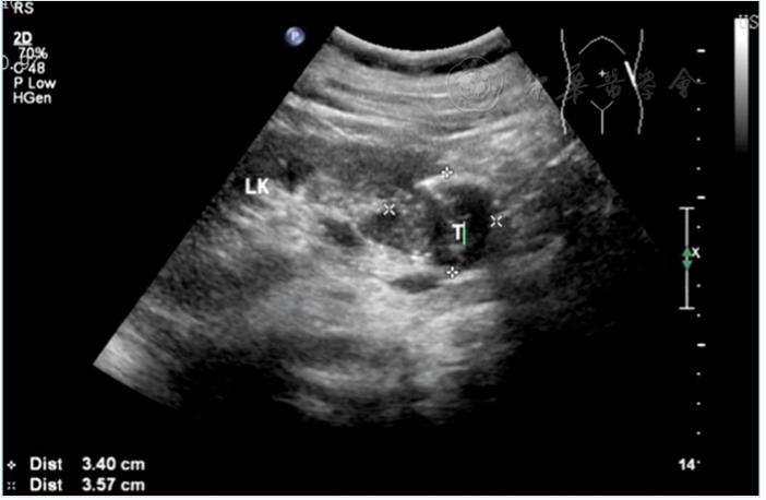
一例后肾腺瘤超声表现病例分析
各类肾脏病超声图像表现
更多推荐
肾的上中下极区分图解
超声肾上下级区分图
超声肾脏上下级分布图
肾下极在什么位置图片
肾的上中下极示意图
肾脏上下极详细图解
肾脏超声标准切面8张
肾脏图片
肾脏图片解剖图
肾脏的位置图片
人肾脏的位置图片
人体肾脏的位置图片
肾脏切片
肾脏结构图
肾脏解剖图
超声图像
肾脏
肾脏结构示意图
人体肾脏结构图位置图
肾脏位置图
肾脏解剖结构示意图
肾脏囊肿
人体肾脏
肾脏位置
肾脏解剖
超声
肾脏结构
乳腺超声
超声内镜
超声心动图